MAGWET
ZALOGUJ
MAGWET
Prenumeruj
Odnów Subskrypcję
Prenumeruj
Czasopisma
Magazyn Weterynaryjny Weterynaria po Dyplomie
Praktyka
Kliniczna
Anestezjologia Behawioryzm Chirurgia Choroby wewnętrzne Choroby zakaźne Dermatologia Diagnostyka laboratoryjna Diagnostyka obrazowa Endokrynologia Farmakologia i toksykologia Gastroenterologia Geriatria Hematologia Kardiologia Laryngologia Nefrologia i Urologia Neurologia Okulistyka Onkologia Ortopedia Parazytologia Rehabilitacja Rozród Stany nagłe Stomatologia Żywienie
Gatunki
Małe zwierzęta Konie Przeżuwacze Świnie Ptaki Zwierzęta egzotyczne Zwierzęta dzikie
Zarządzanie
Praktyką
Prawo Psychologia Zarządzanie
Wydarzenia
Akademia po Dyplomie POLECAMY Kongresy Multiforum Webinaria Odkryj swój dermatologiczny zmysł
Filmy
Aktualności
Sklep
Koszyk
0
ZALOGUJ
Zarejestruj
Zaloguj
Zarejestruj
XXI Kongres Akademii po Dyplomie Weterynaria już 14-15 marca w Warszawie! Praktyka, przypadki kliniczne, 
doświadczeni eksperci. Kup bilet >

Choroby wewnętrzne Koty

Włókniejąca eozynofilna fibroplazja układu pokarmowego kotów – tajemnicza choroba, z którą warto się zapoznać

05/12/2025

Artykuł ukazał się
Magazyn Weterynaryjny
2025
12

Choroby wewnętrzne

Włókniejąca eozynofilna fibroplazja układu pokarmowego kotów – tajemnicza choroba, z którą warto się zapoznać

lek. wet. Joanna Fiedorowicz
dr n. wet. Katarzyna Paździor-Czapula
dr hab. Iwona Otrocka-Domagała, prof. UWM

Katedra Anatomii Patologicznej, Wydział Medycyny Weterynaryjnej, Uniwersytet Warmińsko-Mazurski w Olsztynie

Włókniejąca eozynofilna fibroplazja układu pokarmowego kotów (feline gastrointestinal eosinophilic sclerosing fibroplasia, FGESF) jest dość rzadką jednostką chorobową, która została wyodrębniona na przestrzeni ostatnich lat. Jej przebieg kliniczny może być bardzo podobny do przebiegu wielu innych, częściej występujących chorób.

FGESF może przejawiać się jako pogrubienie ściany żołądka lub jelita (cienkiego albo grubego), jak również w formie naciekającej zmiany guzowatej, występującej najczęściej w okolicy ujścia biodrowo-ślepo-okrężniczego, odźwiernika oraz obejmującej węzły chłonne krezkowe, które mogą być także pierwotnym ogniskiem (2, 6). Wśród innych możliwych lokalizacji wyróżnia się krezkę jelita (5), przestrzeń zaotrzewnową (10), wątrobę (11), węzły chłonne żuchwowe (12), klatkę piersiową (3), a także odbyt (4). Dla zmian występujących poza jamą brzuszną zaproponowano nazewnictwo: włókniejąca eozynofilna fibroplazja kotów (feline eosinophilic sclerosing fibroplasia, FESF) (12).

Etiologia tej choroby jest wciąż niewyjaśniona, w patogenezie duże znaczenie ma jednak proces zapalny rozwijający się przy przeważającym udziale eozynofili. Jedna z hipotez zakłada, że czynniki drażniące, jak bakterie, pasożyty, grzyby, składniki pokarmowe czy ciała obce, powodują odpowiedź układu immunologicznego i w konsekwencji zwiększoną produkcję eozynofili. Komórki te, dzięki licznym białkom, które są składową ziarnistości cytoplazmatycznych, stymulują uwalnianie mediatorów zapalnych. Mediatory te odgrywają kluczową rolę m.in. w rozplemie fibroblastów, prowadząc do wytworzenia tkanki łącznej bogatej w charakterystyczną, szkliwiejącą macierz pozakomórkową.

Ponadto, ze względu na zaobserwowanie predyspozycji rasowych, podejrzewa się rolę podłoża genetycznego w rozwoju tej jednostki chorobowej. Jak dotychczas jednak żadne badania genetyczne nie potwierdziły tej hipotezy. FGESF wchodzi w skład grupy typowych dla kotów chorób zapalnych z komponentą eozynofilową, wśród których wyróżniamy zespół hipereozynofilowy, płytkę eozynofilową, wrzód eozynofilowy, młodzieńczy wrzód eozynofilowy oraz ziarniniak eozynofilowy.

FGESF jest zazwyczaj rozpoznawana u dorosłych kotów. Najwięcej zwierząt choruje w wieku około siedmiu lat (6), natomiast przedział wiekowy zdiagnozowanych przypadków waha się nawet od 1,3 do 14,5 roku (1). Sugerowano predyspozycję do występowania FGESF u samców (2, 6), w retrospektywnym badaniu przeprowadzonym na największej liczbie dotychczas zdiagnozowanych przypadków nie stwierdzono jednak tej zależności (1). Wśród ras predysponowanych najczęściej wyróżnia się ragdolle oraz rasy półdługowłose (2, 6), ale choroba ta występuje również u kotów innych ras.

Objawy kliniczne

Objawy kliniczne najczęściej są nieswoiste. Zalicza się do nich spadek masy ciała, brak apetytu, apatię, osłabienie, biegunkę (często przewlekłą) oraz wymioty. Niekiedy większe zmiany guzowate są wyczuwalne w badaniu palpacyjnym jamy brzusznej oraz mogą uciskać sąsiadujące narządy i naczynia krwionośne. W badaniu morfologicznym krwi często, ale nie zawsze, stwierdza się eozynofilię (1, 2). W badaniu biochemicznym krwi niekiedy obserwuje się hipoalbuminemię i hiperglobulinemię (2). Żadna z tych zmian nie jest jednak patognomoniczna dla FGESF.

Badania obrazowe

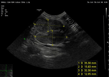
Obraz radiologiczny pozwala jedynie podejrzewać FGESF, nie jest jednak wystarczający do rozpoznania. W badaniu ultrasonograficznym w ścianie żołądka lub jelit obserwuje się ogniskowe, heterogeniczne pogrubienie (często guzowate) z zatartym układem warstwowym oraz o zmienionej echogeniczności. Niekiedy wewnątrz zmiany mogą tworzyć się obszary jamiste lub też powierzchnia może ulegać owrzodzeniu. Natomiast jeżeli zajęty jest węzeł chłonny, bardzo często jest on powiększony, hipoechogeniczny, z zachowaną homogenicznością (7) (ryc. 1).

Medium wlokniejaca ryc1 opt

Ryc. 1. Obraz powiększonych, hipoechogenicznych węzłów chłonnych krezkowych, z zachowaną homogenicznością, których badanie histopatologiczne potwierdziło FGESF.


Opisane powyżej zmiany nasuwają w pierwszej kolejności podejrzenie procesu nowotworowego, szczególnie częstego u kotów chłoniaka układu pokarmowego. Inne nowotwory – mastocytoma, gruczolakorak, mięśniak gładkokomórkowy, również mogłyby dawać podobny obraz radiologiczny. W diagnostyce różnicowej należy uwzględnić także zakaźne zapalenie otrzewnej kotów (FIP) w postaci bezwysiękowej, ziarniniakowe zapalenie innego tła infekcyjnego lub nieinfekcyjnego (na przykład w wyniku obecności ciała obcego), a w przypadku rozlanego pogrubienia ściany jelita – również nieswoiste zapalenie jelit. Dlatego tak ważna jest wiedza lekarzy weterynarii o FGESF, gdyż w diagnostyce obrazowej może ona przypominać wiele innych chorób, których leczenie oraz rokowanie mogą być całkowicie inne.

Badanie cytologiczne oraz histopatologiczne

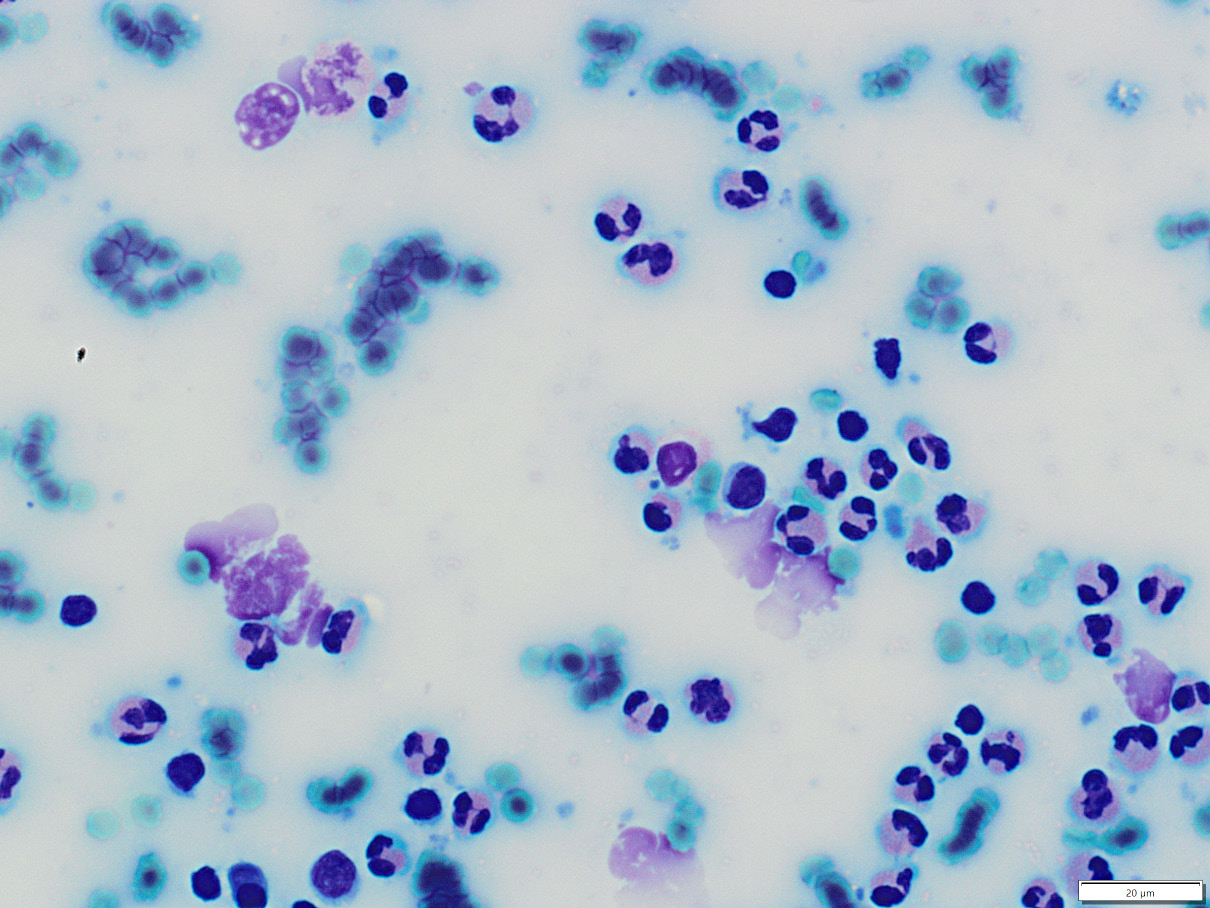
W przypadku zaobserwowania w badaniu obrazowym zmiany rozrostowej przewodu pokarmowego kolejnym krokiem diagnostycznym jest badanie cytologiczne. Biopsja aspiracyjna cienkoigłowa (BAC) jest badaniem małoinwazyjnym, niedrogim oraz pozwala szybko dostarczyć cennych informacji o składzie komórkowym badanej zmiany. W przypadku FGESF w obrazie cytologicznym obserwuje się dużą liczbę eozynofili, którym towarzyszą reaktywnie pobudzone fibroblasty, a niekiedy również neutrofile (głównie w przypadku wtórnego owrzodzenia i zakażenia bakteryjnego), limfocyty, plazmocyty oraz (występujące w niewielkiej liczbie) komórki tuczne. W tle występują złogi materiału białkowego, barwiącego się na różowo, kruszywo komórkowe oraz erytrocyty (ryc. 2).

Medium wlokniejaca ryc2 opt

Ryc. 2. Zdjęcie preparatu cytologicznego pochodzącego z BAC węzła chłonnego krezkowego (obraz USG na ryc. 1), w którym badaniem histopatologicznym potwierdzono FGESF. Widoczne przeważające w obrazie eozynofile, w większości z segmentowanym jądrem. Obecne są ponadto małe limfocyty, plazmocyty i makrofagi. W tle występują erytrocyty, kruszywo komórkowe i uszkodzone komórki.


Niestety w wielu przypadkach duża spoistość zmiany, spowodowana obfitymi włóknami kolagenowymi, oraz rozległe obszary martwicy nie pozwalają na pozyskanie drogą BAC bogatokomórkowego materiału cytologicznego. Korzyścią tego badania jest jednak możliwość wykluczenia innych chorób, takich jak chłoniak czy mastocytoma, których komórki z reguły łatwo poddają się aspiracji. Jedynie badanie histopatologiczne może definitywnie potwierdzić FGESF.

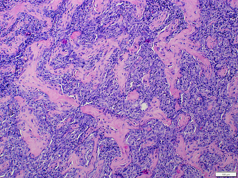
W obrazie histopatologicznym FGESF obserwuje się obfity rozplem tkanki łącznej, produkującej dużą ilość włókien kolagenowych, tworzących charakterystyczny układ beleczkowaty oraz często ulegających szkliwieniu (ryc. 3). Fibroblasty są reaktywnie pobudzone, o zwiększonym stosunku jądrowo-cytoplazmatycznym, a towarzyszą im zmiennie liczne eozynofile, mniej liczne neutrofile, małe limfocyty oraz niekiedy mastocyty. W miąższu zmiany mogą być obecne ogniska martwicy z naciekiem komórek zapalnych oraz bakteriami.

Medium wlokniejaca ryc3 opt

Ryc. 3. Zdjęcie preparatu histopatologicznego węzła chłonnego objętego FGESF. Widoczne jest całkowite zatarcie architektoniki narządu, rozplem tkanki łącznej bogatej w kolagen, tworzącej charakterystyczne beleczkowate utkanie, ulegające szkliwieniu. Obecne są ponadto małe limfocyty, eozynofile, makrofagi, plazmocyty i neutrofile.


Niekiedy obraz histopatologiczny FGESF może wykazywać podobieństwo do nowotworów, takich jak guz z komórek tucznych (mastocytoma) ze względu na dużą liczbę eozynofili oraz częstą obecność mastocytów, ogniska przerzutowe kostniakomięsaka (ze względu na sklerotyczne beleczki, które mogą przypominać tkankę kostną) czy też włókniakomięsak (z uwagi na obfite włókna kolagenowe oraz reaktywnie pobudzone fibroblasty). W sytuacjach wątpliwych zalecane jest użycie dodatkowych barwień immunohistochemicznych pozwalających potwierdzić różne etapy włóknienia (9).

W wielu przypadkach największych trudności diagnostycznych przysparza wielkość badanego wycinka tkankowego, a konkretnie – pobranie do badania zbyt małego wycinka. Pobierany wycinek powinien obejmować całą grubość ściany żołądka lub jelita, a węzeł chłonny najlepiej jest pobrać w całości. Wycinki pobrane w trakcie badania endoskopowego za pomocą kleszczyków zazwyczaj pozwalają ocenić jedynie błonę śluzową i niekiedy podśluzową, stąd tą metodą rzadko udaje się zdiagnozować FGESF.

następna strona>
1 2 >
OSTATNIO DODANE
Czy wiesz, że nawet 1 na 5 dorosłych osób na świecie zmaga się z nadwrażliwością na kocie alergeny?
XXI Kongres Akademii po Dyplomie Weterynaria 2026 - jedno z najważniejszych wydarzeń dla lekarzy ...
Analiza przepływowa ekspresji Ki-67 w nowotworach komórek tucznych u psów i jej wartość prognosty...
Otyłość psów i jej związek z ciśnieniem
Gdy enzymy wątrobowe są jedyną wskazówką. Pierwotna hipoplazja żyły wrotnej u kota
POLECANE ARTYKUŁY
Farmakologia i toksykologia
Opioidowa farmakoterapia bólu okołooperacyjnego u psów i kotów
Hematologia
Zależne od rasy zmiany w obrazie krwi u psów i kotów. Cz. II
Choroby zakaźne
Grzybice narządowe kotów – aktualne dane
Chirurgia
Rany u małych zwierząt. Cz. III. Czemu rana się nie goi
Parazytologia
Motyliczka mięśniowa – możliwości rozpoznawania nowego zagrożenia
Stomatologia
„Zdejmowanie kamienia nazębnego” czy „stomatologiczny zabieg profilaktyczny”?
Parazytologia
Zachowania prozdrowotne właścicieli psów i kotów w zakresie profilaktyki chorób pasożytniczych
Farmakologia i toksykologia
Co lekarz weterynarii powinien wiedzieć o produktach z konopi
NEWSLETTER
OBSERWUJ NAS NA
NASZE PUBLIKACJE
  • Magazyn Weterynaryjny
  • Zamów prenumeratę
  • Weterynaria po Dyplomie
  • Zamów prenumeratę
  • Czytaj on-line Magazyn Weterynaryjny
  • Czytaj on-line Weterynaria po Dyplomie
  • Filmy
  • Rada Programowa Magazynu Weterynaryjnego


AKADEMIA PO DYPLOMIE WETERYNARIA
  • Termin i miejsce
  • Program
  • Koszty uczestnictwa
  • Rejestracja online


POMOC
  • Polityka prywatnosci
  • Zadaj pytanie
  • Logowanie i rejestracja
  • Regulamin
  • Metody płatności
  • Regulamin publikowania prac
  • Filmy Pomoc
  • Kontakt


KONTAKT

Medical Tribune Polska Sp. z o.o.
ul. Grzybowska 87
00-844 Warszawa
NIP: 521-008-60-45


801 044 415
+48 (22) 444 24 44
kontakt@magwet.pl
Nr konta: 13 1600 1068 0003 0102 0949 9001

Kontakt w sprawie reklam: magwet-reklama@medical-tribune.pl

Anuluj