MAGWET
ZALOGUJ
MAGWET
Prenumeruj
Odnów Subskrypcję
Prenumeruj
Czasopisma
Magazyn Weterynaryjny Weterynaria po Dyplomie
Praktyka
Kliniczna
Anestezjologia Behawioryzm Chirurgia Choroby wewnętrzne Choroby zakaźne Dermatologia Diagnostyka laboratoryjna Diagnostyka obrazowa Endokrynologia Farmakologia i toksykologia Gastroenterologia Geriatria Hematologia Kardiologia Laryngologia Nefrologia i Urologia Neurologia Okulistyka Onkologia Ortopedia Parazytologia Rehabilitacja Rozród Stany nagłe Stomatologia Żywienie
Gatunki
Małe zwierzęta Konie Przeżuwacze Świnie Ptaki Zwierzęta egzotyczne Zwierzęta dzikie
Zarządzanie
Praktyką
Prawo Psychologia Zarządzanie
Wydarzenia
Akademia po Dyplomie POLECAMY Kongresy Multiforum Webinaria Odkryj swój dermatologiczny zmysł
Filmy
Aktualności
Sklep
Koszyk
0
ZALOGUJ
Zarejestruj
Zaloguj
Zarejestruj
XXI Kongres Akademii po Dyplomie Weterynaria już 14-15 marca w Warszawie! Praktyka, przypadki kliniczne, 
doświadczeni eksperci. Kup bilet >

Parazytologia Psy

Kiedy twój pacjent zaczyna mieć bardziej egzotyczne przygody niż ty! Inwazja Babesia gibsoni u psa – opis przypadku

06/11/2025

Artykuł ukazał się
Magazyn Weterynaryjny
2025
11

Parazytologia

Kiedy twój pacjent zaczyna mieć bardziej egzotyczne przygody niż ty! Inwazja Babesia gibsoni u psa – opis przypadku

lek. wet. Agata Przybylska-Komorowska1
specjalista weterynaryjnej diagnostyki laboratoryjnej
dr n. wet. Katarzyna Mróz2

1 Gabinet weterynaryjny Animal, Poznań
2 Gabinet weterynaryjny Prak-Vet, Oleśnica

Choroby wektorowe w dzisiejszych czasach stanowią coraz większy problem zarówno w medycynie weterynaryjnej, jak i medycynie człowieka. Częstsze i dalsze podróże oraz ocieplający się klimat stanowią czynniki sprzyjające roznoszeniu się chorób, a także ich częstszej obecności w Europie.

Na szczególną uwagę zasługuje babeszjoza (piroplazmoza). Jest ciężką chorobą psów, przebiegającą z brakiem apetytu, posmutnieniem, gorączką, niedokrwistością hemolityczną, hemoglobinurią, a nawet wstrząsem septycznym, IMHA (immune mediated hemolytic anemia) czy DIC. Znacznie rzadszy, ale także możliwy jest przebieg subkliniczny choroby (1). Wywoływana jest przez pierwotniaki z rodziny Babesiidae, głównie przez Babesia canis, rzadziej Babesia gibsoni. Częściej wykrywana B. canis ma wielkość około 4-5 µm i przenoszona jest przez kleszcze Dermacentor reticulatus. B. gibsoni jest znacznie mniejsza (1-2,5 µm) i roznoszą ją kleszcze Rhipicephalus sanguineus, Haemaphysalis spp. (2). Do zarażenia psów dochodzi podczas żerowania pajęczaka. Żeby mogło dojść do inwazji B. gibsoni, kleszcz musi żerować na skórze przez co najmniej 48-72 godziny (3). Istnieją dane mówiące o transmisji bezpośredniej pies–pies, przez kontakt ze skażoną krwią (na przykład pogryzienie albo przetoczenie krwi) (4).

W naszym przypadku pacjentem był Bali – 3-letni pies rasy pudel toy, który trafił do gabinetu z objawami ostrej anemii. Trzy tygodnie wcześniej w Tajlandii pies został ukąszony przez kleszcza. Po kilku dniach pojawiły się pierwsze objawy gorszego samopoczucia – osłabienie, obniżenie apetytu, zmniejszona aktywność. Miejscowy lekarz stwierdził inwazję B. gibsoni i podał m.in. imidokarb w iniekcji oraz nandrolon.

Na początku stan Baliego poprawił się, lecz po kilku dniach nastąpiło pogorszenie. Pies został skierowany do kliniki w Bangkoku, gdzie otrzymał dwukrotnie krew pełną zgodną grupowo. Zastosowano leczenie w kierunku hemolitycznej niedokrwistości autoimmunologicznej (IMHA), podano ponownie imidokarb, doksycyklinę, żelazo, Sucrabest, omeprazol oraz preparat hepatoprotekcyjny. Nie stwierdzono przyczyny postępującej anemii. Pies został następnie przetransportowany do Polski.

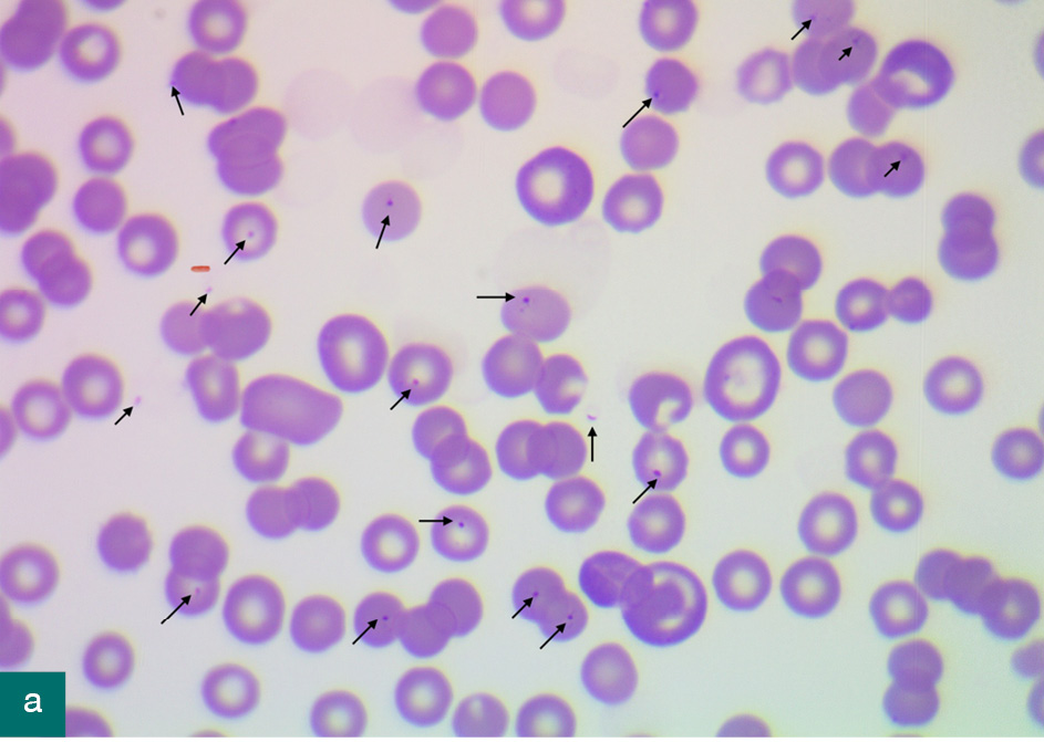
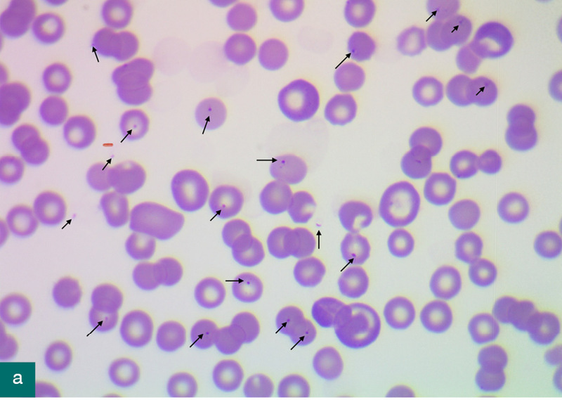
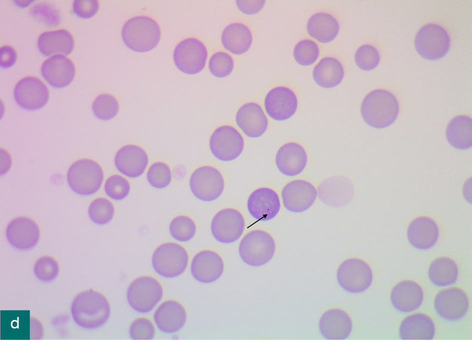
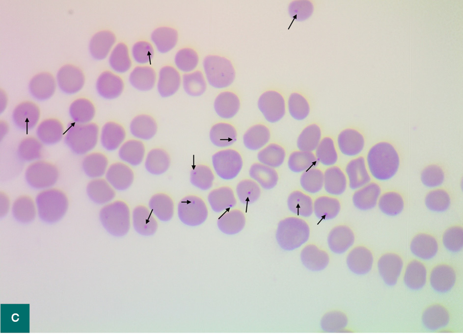
Podczas pierwszej wizyty w Polsce stwierdzono obniżoną aktywność, silnie zaznaczoną bladość błon śluzowych, szmery serca słyszalne po obu stronach. Badania laboratoryjne wykazały silną niedokrwistość, podwyższoną aktywność enzymów wątrobowych, zaburzenia elektrolitowe oraz prawie 4-krotnie podwyższone stężenie żelaza (ryc. 1, 2). W rozmazie krwi (barwienie Diff-Quick) stwierdzono obecność drobnych wtrętów wewnątrz erytrocytów wskazujących na B. gibsoni oraz widoczne sferocyty w liczbie 2-8 wpw (ryc. 3).

Medium kiedy ryc1 opt

Ryc. 1. Morfologia przed rozpoczęciem leczenia (23.04.2023).

Medium kiedy ryc2 opt

Ryc. 2. Badanie biochemiczne krwi przed rozpoczęciem leczenia (23.04.2023).

  • Medium 1216
  • Medium 1253
  • Medium 1291
  • Medium 1332

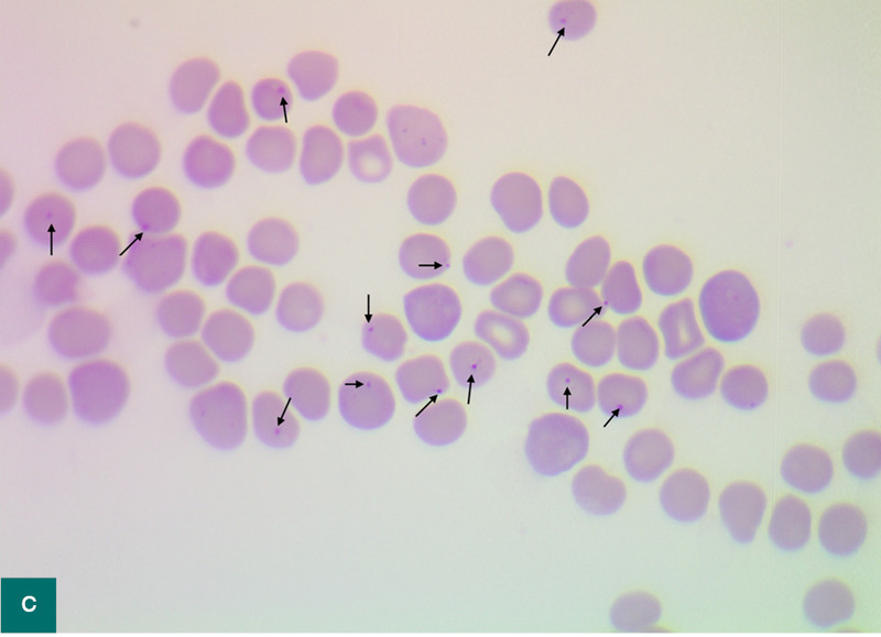
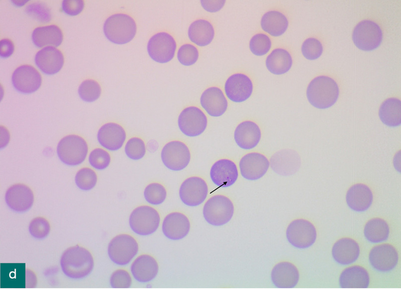
Ryc. 3. Rozmaz krwi wykonany podczas pierwszej wizyty w Polsce, strzałkami zaznaczono B. gibsoni. Widoczna jest niedobarwliwość miernego stopnia oraz retikulocyty, mikrocyty i cień erytrocytu (d).


Ze względu na stan kliniczny pacjenta i wcześniejszą potwierdzoną inwazję B. gibsoni kontynuowano leczenie w tym kierunku. Podczas wizyty podano imidokarb 5 mg/kg m.c. s.c., Ornipural s.c. Do dalszego stosowania chciano użyć środka przeciwmalarycznego atowakwonu, ale w Polsce ten lek nie jest dostępny samodzielnie, a jedynie jako tabletki Malarone zawierające także chlorowodorek proguanilu, który może powodować objawy niepożądane, m.in. w postaci zaburzeń ze strony przewodu pokarmowego. Z konieczności zastosowano go jednak, a ponadto azytromycynę, prednizon, preparaty gastro- i hepatoprotekcyjne (tab. I).

Medium 1495

Tabela I. Stosowane schematy leczenia inwazji Babesia gibsoni


Przez pierwsze trzy dni zanotowano spadek parametrów czerwonokrwinkowych przy jednoczesnym wzroście liczby retikulocytów i zmniejszeniu się ilości pasożytów w erytrocytach (ryc. 4). Od czwartej doby parametry szeregu erytrocytarnego zaczęły rosnąć.

Medium kiedy ryc4 opt

Ryc. 4. Badanie krwi, morfologia w trakcie leczenia schematem 1 (07.05.2023).


Samopoczucie psa cały czas było dobre, wzrastała aktywność, pacjent mniej się męczył i mniej spał, przyjmował jedzenie bez zachęcania. Po podaniu Malarone właściciele obserwowali bolesność brzucha samoistnie ustępującą po mniej więcej 2-3 godzinach.

Dwa tygodnie (07.05.2023) od rozpoczęcia leczenia właściciel zgłosił intensywną tkliwość brzucha i złe samopoczucie psa objawiające się dyszeniem, niepokojem, brakiem możliwości znalezienia sobie miejsca i apetytu. W badaniu klinicznym potwierdzono nasiloną tkliwość przodobrzusza, podczas badania pies uciekał, wykazywał agresywne zachowania.

W morfologii krwi widoczny był ciągły wzrost parametrów czerwonokrwinkowych, nie stwierdzono obecności pasożytów krwi w rozmazie. W badaniu biochemicznym odnotowano silny wzrost parametrów wątrobowych z jednoczesnym stężeniem żelaza poniżej wartości referencyjnych (ryc. 4, 5). W ocenie USG wątroba była powiększona, z ogniskami hiperechogenicznymi w obrębie całego narządu (wzrost ich liczby w stosunku do poprzedniego badania). W pęcherzu moczowym stwierdzono liczne złogi, pozostałe narządy nie wykazywały zmian patologicznych.

Medium kiedy ryc5 opt

Ryc. 5. Badanie biochemiczne krwi w trakcie leczenia schematem 1 (07.05.2023).


Ze względu na pojawiające się wcześniej objawy bólowe po podaniu Malarone podjęto decyzję o jego odstawieniu przy utrzymaniu pozostałych leków. Dodatkowo zaczęto suplementować żelazo (Hemovet) raz dziennie p.o. Podczas codziennych wizyt stosowano leczenie objawowe. Trzeciego dnia widoczna była znaczna poprawa stanu pacjenta. W badaniu palpacyjnym brzuch był miękki, niebolesny, a właściciele zgłaszali większą aktywność psa i powrót apetytu.

Kontrola krwi po leczeniu problemów gastroenterologicznych wykazała pokaźny spadek parametrów wątrobowych i znaczny wzrost parametrów czerwonokrwinkowych. Nie stwierdzono obecności piroplazm w rozmazach krwi.

następna strona>
1 2 3 >
OSTATNIO DODANE
Czy wiesz, że nawet 1 na 5 dorosłych osób na świecie zmaga się z nadwrażliwością na kocie alergeny?
XXI Kongres Akademii po Dyplomie Weterynaria 2026 - jedno z najważniejszych wydarzeń dla lekarzy ...
Analiza przepływowa ekspresji Ki-67 w nowotworach komórek tucznych u psów i jej wartość prognosty...
Otyłość psów i jej związek z ciśnieniem
Gdy enzymy wątrobowe są jedyną wskazówką. Pierwotna hipoplazja żyły wrotnej u kota
POLECANE ARTYKUŁY
Farmakologia i toksykologia
Opioidowa farmakoterapia bólu okołooperacyjnego u psów i kotów
Onkologia
Ośmioletnia suka z nawrotowym krwiomoczem
Hematologia
Zależne od rasy zmiany w obrazie krwi u psów i kotów. Cz. II
Onkologia
Dziesięć najczęstszych nowotworów u psów w Polsce
Chirurgia
Rany u małych zwierząt. Cz. III. Czemu rana się nie goi
Dermatologia
Toczniowe zniekształcenie pazurów u psów jako rzadka forma tocznia – rozpoznawanie i leczenie
Parazytologia
Motyliczka mięśniowa – możliwości rozpoznawania nowego zagrożenia
Kardiologia
Pies z nietolerancją wysiłkową i posmutnieniem. Rozwiązanie zagadki
NEWSLETTER
OBSERWUJ NAS NA
NASZE PUBLIKACJE
  • Magazyn Weterynaryjny
  • Zamów prenumeratę
  • Weterynaria po Dyplomie
  • Zamów prenumeratę
  • Czytaj on-line Magazyn Weterynaryjny
  • Czytaj on-line Weterynaria po Dyplomie
  • Filmy
  • Rada Programowa Magazynu Weterynaryjnego


AKADEMIA PO DYPLOMIE WETERYNARIA
  • Termin i miejsce
  • Program
  • Koszty uczestnictwa
  • Rejestracja online


POMOC
  • Polityka prywatnosci
  • Zadaj pytanie
  • Logowanie i rejestracja
  • Regulamin
  • Metody płatności
  • Regulamin publikowania prac
  • Filmy Pomoc
  • Kontakt


KONTAKT

Medical Tribune Polska Sp. z o.o.
ul. Grzybowska 87
00-844 Warszawa
NIP: 521-008-60-45


801 044 415
+48 (22) 444 24 44
kontakt@magwet.pl
Nr konta: 13 1600 1068 0003 0102 0949 9001

Kontakt w sprawie reklam: magwet-reklama@medical-tribune.pl

Anuluj