WPD
ZALOGUJ
WPD
Prenumeruj
Odnów Subskrypcję
Prenumeruj
Czasopisma
Magazyn Weterynaryjny Weterynaria po Dyplomie
Praktyka
Kliniczna
Anestezjologia Behawioryzm Chirurgia Choroby wewnętrzne Choroby zakaźne Dermatologia Diagnostyka laboratoryjna Diagnostyka obrazowa Endokrynologia Farmakologia i toksykologia Gastroenterologia Geriatria Hematologia Kardiologia Laryngologia Nefrologia i Urologia Neurologia Okulistyka Onkologia Ortopedia Parazytologia Rehabilitacja Rozród Stany nagłe Stomatologia Żywienie
Gatunki
Konie Koty Psy
Wydarzenia
Kongres Webinaria
Filmy
Sklep
Koszyk
0
ZALOGUJ
Zarejestruj
Zaloguj
Zarejestruj

Psy Żywienie

Postępowanie żywieniowe w przypadku chłonkopiersia – opis przypadku

16/03/2026

Artykuł ukazał się
Weterynaria po Dyplomie
2026
02

Żywienie

Postępowanie żywieniowe w przypadku chłonkopiersia – opis przypadku

Laura Gaylord, Donna Raditic

Chłonkopiersie definiuje się jako nagromadzenie zmodyfikowanego płynu limfatycznego w jamie opłucnej. Prawidłowe trawienie i wchłanianie tłuszczu z przewodu pokarmowego powoduje, że triglicerydy z żywności są w komórkach błony śluzowej jelita czczego pakowane w chylomikrony, które dostają się do układu limfatycznego. Chłonka z limfatycznych naczyń lędźwiowych i krezkowych przepływa do zbiornika chłonki, a następnie do przewodu piersiowego, gdzie wchodzi do krążenia żylnego. W przypadku przerwania tej drogi lub wzrostu ciśnienia w układzie limfatycznym może dojść do chłonkopiersia w wyniku wycieku chłonki do przestrzeni opłucnowej.

Do głównych przyczyn chłonkopiersia należą: ucisk przewodu piersiowego, nowotwór, grasiczak, choroba grzybicza lub skręt płata płuca. Chłonkopiersie może być również spowodowane zwiększonym układowym ciśnieniem żylnym wynikającym z prawostronnej niewydolności serca, robaczycy serca, płynu w worku osierdziowym, kardiomiopatii, dysplazji zastawki trójdzielnej, zaburzeń zatorowo-zakrzepowych.1,2 Chociaż rzadko, chłonkopiersie może wynikać z przepukliny przeponowej, operacji klatki piersiowej, urazu lub silnego kaszlu albo wymiotów. W wielu przypadkach dokładna przyczyna chłonkopiersia nie jest znana i dlatego jest ono określane jako idiopatyczne.2 Objawy kliniczne chłonkopiersia odnoszą się do choroby jamy opłucnej i mogą być ostre lub przewlekłe. Pacjenci dotknięci chorobą mają przyspieszony oddech (tachypnea) albo więcej łagodnych objawów (na przykład senność, brak łaknienia, kaszel, nietolerancja wysiłku). Ponieważ chłonka zawiera wodę, elektrolity, lipidy, białka i witaminy rozpuszczalne w tłuszczach, drenaż i usunięcie chłonki z przestrzeni opłucnej może spowodować odwodnienie i zaburzenia równowagi elektrolitowej. Przewlekłe i nawracające chłonkopiersie może również powodować zaciskające zapalenie opłucnej, co pogarsza rokowanie. Zalecane leczenie chłonkopiersia obejmuje interwencję żywieniową, farmakologiczną i/lub chirurgiczną.1 Niniejszy opis przypadku przedstawia podejście żywieniowe do leczenia chłonkopiersia, które zostało zainicjowane w celu ustabilizowania pacjenta do ewentualnego leczenia chirurgicznego.

Historia i opis pacjenta

Pacjentem był pięcioletni kastrowany pies rasy goldendoodle o masie 31 kg, z oceną kondycji ciała 4/9 (Purina Body Condition System) i prawidłową kondycją mięśni (ryc. 1). U psa od sześciu tygodni występowała postępująca hiporeksja (zaburzenia łaknienia) z okresową sennością i napadami wymiotów oraz miękkim kałem (ocena kału od 4 do 5/9, Purina Fecal Scoring Chart). Miał również historię zapalenia przewodu słuchowego zewnętrznego, podejrzenie atopii i przewlekłej enteropatii, które były leczone lekiem miejscowym (steroid/lek przeciwgrzybiczy/antybiotyk), iniekcjami lokivetmabu (Cytopoint) i hydrolizowaną weterynaryjną dietą terapeutyczną (Hill’s Prescription Diet z/d) podawaną w ilości 1,5 filiżanki dwa razy dziennie (1062 kcal/dzień). Pacjent otrzymywał przez cały rok środki zapobiegające inwazji nicieni sercowych oraz pcheł/kleszczy, a wszystkie szczepienia były aktualne.

Medium gaylord ryc1 opt

Ryc. 1. Zdjęcie pacjenta z chłonkopiersiem wykonane przed wizytą.

Wstępna ocena pacjenta

Lekarz weterynarii podstawowej opieki zdrowotnej poinformował, że badanie kliniczne pacjenta było w normie: temperatura wynosiła 38,2°C, częstość pracy serca 90 uderzeń/min, a częstość oddechów 35/min przy normalnym wysiłku. Odnotowano utratę masy ciała o 2 kg – podczas corocznego badania sześć miesięcy wcześniej wynosiła ona 33 kg. Wykonano przesiewowe badanie rentgenowskie jamy brzusznej oraz klatki piersiowej i zidentyfikowano płyn w przestrzeni opłucnowej (ryc. 2). Pacjent został skierowany do placówki specjalistycznej/ratunkowej w celu przeprowadzenia dodatkowej diagnostyki.

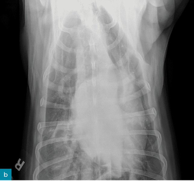
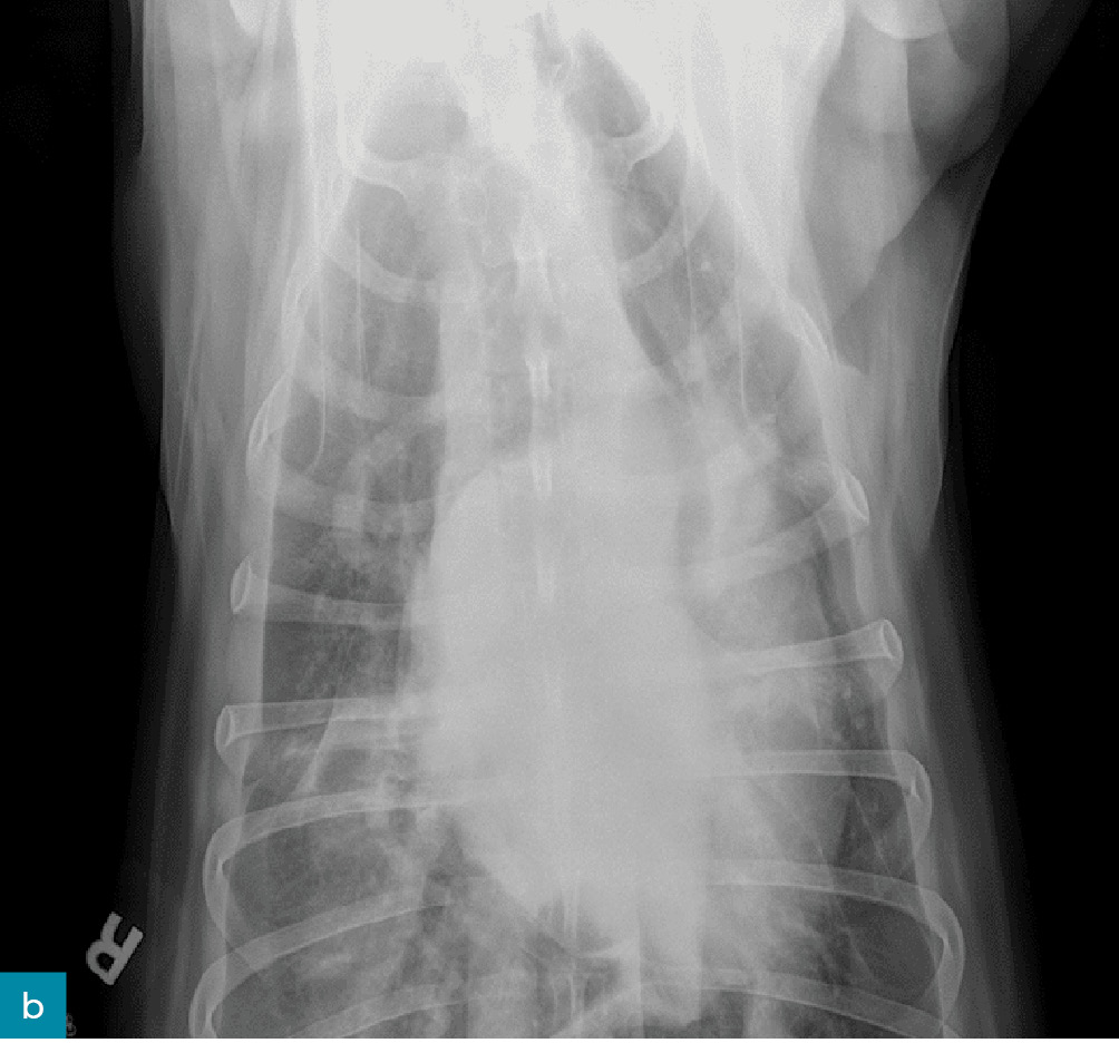
  • Medium 1268
  • Medium 1306

Ryc. 2. Prawe profilowe (a) i brzuszno-grzbietowe (b) zdjęcie klatki piersiowej pacjenta z chłonkopiersiem, pokazujące płyn w przestrzeni opłucnowej.


W ośrodku ratunkowym pacjent był ożywiony, czujny i reagował na bodźce. Stwierdzono szmer skurczowy serca stopnia 2/6. Radiogramy klatki piersiowej potwierdziły płyn w jamie opłucnej i wykazały łagodną niedodmę doogonowych pól płucnych. Podczas nakłucia klatki piersiowej usunięto około 3 ml białego, mlecznego płynu z lewej doczaszkowej części klatki piersiowej i około 20 ml z prawej części klatki piersiowej. Rodzaje płynu gromadzącego się w przestrzeni opłucnej obejmują przesięk, zmodyfikowany przesięk, wysięk oraz wysięk limfatyczny. Biorąc pod uwagę wygląd płynu, podejrzewano wysięk limfatyczny. Ostateczne rozpoznanie chłonkopiersia opiera się na wykryciu w płynie stężenia triglicerydów wyższego niż w surowicy. Płyn został przesłany wraz z krwią i moczem do badań diagnostycznych.

Badania diagnostyczne i wyniki

Wyniki badań laboratoryjnych krwi, moczu i płynu opłucnowego (nie podano stężenia białka) przedstawiono w tabeli 1. Bezpośrednie rozmazy płynu opłucnowego zawierały niewielką liczbę komórek jądrzastych i erytrocytów na różowym tle. Komórki jądrzaste były głównie limfocytami (60-65%, przede wszystkim małe, kilka średnich i dużych) z umiarkowaną liczbą makrofagów (35-40%) oraz niewielką liczbą neutrofili i komórek mezotelialnych (< 5%). Nie zaobserwowano żadnych nietypowych komórek ani czynników etiologicznych. Płyn rozpoznano jako chłonkę.

Medium 1507

Tabela 1. Wyniki badań laboratoryjnych


Dodatkowa diagnostyka obejmowała echokardiogram, który wykazał łagodną niedomykalność zastawki mitralnej i trójdzielnej, ale bez poszerzenia komory oraz zmian grubości ścian serca, i prawidłową kurczliwość. Stwierdzono płyn w jamie opłucnej. Tomografia komputerowa całego ciała (TK) nie dostarczyła żadnych dowodów na obecność nowotworu ani informacji o przyczynie płynu limfatycznego. Limfangiogram TK po podaniu środka cieniującego ujawnił prawidłowe krążenie limfatyczne. Ponieważ przyczyna nie została zidentyfikowana, rozpoznano idiopatyczny płyn w jamie opłucnej.

Możliwości leczenia

Leczenie farmakologiczne

Leczenie farmakologiczne chłonkopiersia obejmuje postępowanie żywieniowe, nakłucie klatki piersiowej w celu usunięcia płynu i/lub stosowanie leków. Usunięcie płynu poprawia komfort pacjenta i powoduje ustępowanie objawów klinicznych, ale rzadko prowadzi do wyleczenia, chociaż istnieje kilka doniesień o spontanicznym ustąpieniu objawów.1,2 Leki stosowane w leczeniu chłonkopiersia obejmują rutynę i/lub analog somatostatyny – oktreotyd. Rutyna jest dodatkiem żywieniowym, który ma zwiększać wychwyt płynu obrzękowego przez naczynia limfatyczne. Jej stosowanie przyniosło pewną poprawę u kotów z chłonkopiersiem, ale nie została ona oceniona u psów.3,4 Oktreotyd – analog somatostatyny, który podawano pozajelitowo psom i kotom z chłonkopiersiem, wykazał niską skuteczność, ponadto jest kosztowny i nie jest szeroko stosowany.1,5,6 W przypadku pacjenta opisanego w niniejszym artykule rozpoczęto podawanie rutyny w dawce 1500 mg doustnie co osiem godzin ze względu na możliwe korzyści. Z uwagi na objawy nudności i braku łaknienia przepisano również lek zobojętniający kwasy, aby wspomóc apetyt (omeprazol 40 mg co 12 godzin przez siedem dni).

Leczenie chirurgiczne

Leczenie chirurgiczne może obejmować podwiązanie przewodu piersiowego, ablację zbiornika chłonnego i/lub perikardiektomię. W przypadku każdej z tych metod odnotowuje się różne wskaźniki skuteczności. Często zabiegi te są łączone dla jej zwiększenia.1 Inną metodą jest umieszczenie portu ułatwiającego drenaż chłonki do przestrzeni otrzewnowej w celu jej wchłonięcia lub do przestrzeni podskórnej w celu jej usunięcia. Rokowanie po leczeniu chirurgicznym waha się od dobrego do doskonałego, ale optymalna metoda chirurgiczna w leczeniu chłonkopiersia u psów nie jest znana ze względu na małą liczbę przypadków i różnorodność zgłaszanych interwencji.

następna strona>
1 2 3 >
NAJPOPULARNIEJSZE
Onkologia
Rak przejściowokomórkowy (TCC), czyli złośliwy nowotwór pęcherza moczowego
Nowa formuła Kongresu ApD Weterynaria – dwa razy więcej wiedzy!
Anestezjologia
Postawmy na rozsądek podczas planowania znieczulenia regionalnego
POLECANE ARTYKUŁY
Farmakologia i toksykologia
Opioidowa farmakoterapia bólu okołooperacyjnego u psów i kotów
Onkologia
Ośmioletnia suka z nawrotowym krwiomoczem
Hematologia
Zależne od rasy zmiany w obrazie krwi u psów i kotów. Cz. II
Onkologia
Dziesięć najczęstszych nowotworów u psów w Polsce
Chirurgia
Rany u małych zwierząt. Cz. III. Czemu rana się nie goi
Dermatologia
Toczniowe zniekształcenie pazurów u psów jako rzadka forma tocznia – rozpoznawanie i leczenie
Parazytologia
Motyliczka mięśniowa – możliwości rozpoznawania nowego zagrożenia
Kardiologia
Pies z nietolerancją wysiłkową i posmutnieniem. Rozwiązanie zagadki
NEWSLETTER
OBSERWUJ NAS NA
NASZE PUBLIKACJE
  • Magazyn Weterynaryjny
  • Zamów prenumeratę
  • Czytaj on-line
  • Weterynaria po Dyplomie
  • Zamów prenumeratę
  • Czytaj on-line
  • Dodatek Online
  • Filmy


AKADEMIA PO DYPLOMIE WETERYNARIA
  • Termin i miejsce
  • Program
  • Koszty uczestnictwa
  • Rejestracja online


POMOC
  • Kontakt
  • Polityka prywatnosci
  • Zadaj pytanie
  • Logowanie i rejestracja
  • Regulamin
  • Metody płatności
  • Regulamin publikowania prac
  • Filmy Pomoc


KONTAKT

Medical Tribune Polska Sp. z o.o.
ul. Grzybowska 87
00-844 Warszawa
NIP: 521-008-60-45


801 044 415
+48 (22) 444 24 44
kontakt@magwet.pl
Nr konta: 13 1600 1068 0003 0102 0949 9001

Kontakt w sprawie reklam: magwet-reklama@medical-tribune.pl

Anuluj