WPD
ZALOGUJ
WPD
Prenumeruj
Odnów Subskrypcję
Prenumeruj
Czasopisma
Magazyn Weterynaryjny Weterynaria po Dyplomie
Praktyka
Kliniczna
Anestezjologia Behawioryzm Chirurgia Choroby wewnętrzne Choroby zakaźne Dermatologia Diagnostyka laboratoryjna Diagnostyka obrazowa Endokrynologia Farmakologia i toksykologia Gastroenterologia Geriatria Hematologia Kardiologia Laryngologia Nefrologia i Urologia Neurologia Okulistyka Onkologia Ortopedia Parazytologia Rehabilitacja Rozród Stany nagłe Stomatologia Żywienie
Gatunki
Konie Koty Psy
Wydarzenia
Kongres Webinaria
Filmy
Sklep
Koszyk
0
ZALOGUJ
Zarejestruj
Zaloguj
Zarejestruj

Zamówienia złożone od 22 grudnia do 5 stycznia zostaną wysłane po 5 stycznia. W ramach rekompensaty oferujemy świąteczną darmową dostawę 🎄Przejdź do sklepu >

Diagnostyka obrazowa Koty Psy

Badanie ultrasonograficzne w rozpoznawaniu przewlekłej choroby nerek u psów i kotów

17/11/2025

Artykuł ukazał się
Weterynaria po Dyplomie
2025
06

Diagnostyka obrazowa

Badanie ultrasonograficzne w rozpoznawaniu przewlekłej choroby nerek u psów i kotów

Elodie E. Huguet, Clifford R. Berry, Robert C. Cole

Przewlekła choroba nerek (PChN) jest często rozpoznawana u psów i kotów, a szacowana częstość jej występowania w praktyce ogólnej małych zwierząt wynosi około 0,5-1,5% u psów oraz 1-3% u kotów.1 PChN definiuje się jako postępującą i nieodwracalną utratę strukturalnej integralności oraz czynności nerek.2 Chociaż najczęściej występuje u starszych zwierząt, przewlekła choroba nerek może być rozpoznana u pacjenta w każdym wieku – od 9. miesiąca życia do 22 lat.2 U większości pacjentów przyczyna PChN często nie zostaje ustalona, różne czynniki inicjujące prowadzą jednak do rozwoju śródmiąższowego zapalenia nerek, glomerulopatii lub amyloidozy. Spośród nich śródmiąższowe zapalenie nerek jest najczęściej opisywane zarówno u psów, jak i u kotów.1,3

We wczesnych stadiach przewlekłej choroby nerek pacjenci są często bezobjawowi, a badania biochemiczne mogą nie wykazywać nieprawidłowych parametrów nerkowych. Z czasem postępująca utrata funkcjonalnych nefronów prowadzi do azotemii i podwyższonego stężenia SDMA (symetrycznej dimetyloargininy). Objawy kliniczne stają się widoczne, kiedy dochodzi do utraty 2/3 prawidłowej czynności nerek.4 Schyłkowa niewydolność nerek definiowana jest jako istotna utrata struktury i czynności nerek.3 Nerki odgrywają kluczową rolę w procesach endokrynnych i metabolicznych, a utrata ich czynności skutkuje zaburzeniami ogólnoustrojowymi, które mogą mieć poważne konsekwencje kliniczne.5 Powstały w następstwie zespół mocznicowy może prowadzić do znacznego pogorszenia stanu klinicznego pacjenta.4

Kiedy nefrony są uszkodzone, a miąższ nerki ulega zniszczeniu, dochodzi do zwłóknienia i mineralizacji tkanki. Pozostałe nefrony ulegają kompensacyjnemu przerostowi.3 Celem leczenia jest spowolnienie postępującej utraty nefronów oraz korekcja wszelkich następstw choroby (na przykład nadciśnienia układowego, hiperfosfatemii, niedokrwistości).4 Skuteczne długoterminowe leczenie PChN zależy od wczesnego rozpoznania i ustalenia stadium choroby.6 W dalszej ocenie nerek u kotów i psów metodą obrazowania z wyboru jest ultrasonografia ze względu na wysoką rozdzielczość obrazu tkanek miękkich, koszt badania oraz jego dostępność. Ciągły rozwój technologiczny systemów ultrasonograficznych umożliwia wykrywanie bardziej subtelnych zmian w tkankach, co jest pomocne w rozpoznawaniu i monitorowaniu PChN u psów i kotów.

Podejście diagnostyczne

Przygotowanie pacjenta i ustawienia aparatu

Przygotowanie pacjenta jest kluczowe dla skutecznej oceny ultrasonograficznej. W przypadku niespokojnych pacjentów wskazane może być zastosowanie sedacji. Każde pobranie materiału za pomocą biopsji lub biopsji cienkoigłowej powinno być wykonywane u pacjenta w głębokiej sedacji lub znieczuleniu ogólnym. Badany obszar powinien być szeroko wygolony, a jako medium kontaktowe należy zastosować alkohol i żel w celu optymalizacji jakości obrazu. Trzeba wybrać głowicę o najwyższej częstotliwości i wystarczającej penetracji, aby umożliwić wizualizację nerek, co najlepiej osiąga się za pomocą głowicy liniowej. Może być również użyta głowica mikrokonweksowa, jeżeli potrzebna jest mniejsza powierzchnia kontaktu lub większa penetracja, na przykład w przypadku większych pacjentów.

W celu optymalizacji jakości obrazu zaleca się zastosowanie następujących ustawień:

  • Głębokość: pole widzenia powinno obejmować badany narząd.
  • Strefa ogniskowa: należy umieścić głowicę na poziomie badanego narządu lub tuż poniżej niego. Strefa ogniskowa odpowiada najwęższej części wiązki ultrasonograficznej, a więc obszarowi o najwyższej rozdzielczości przestrzennej i jakości obrazu.
  • Wzmocnienie: dostosuj ogólną jasność obrazu, tak aby uzyskać dobry kontrast pomiędzy strukturami. Ogólnie wzmocnienie powinno być ustawione niżej, aby zapewnić wyraźny kontrast. Zwiększanie wzmocnienia w celu kompensacji jasnego oświetlenia pomieszczenia utrudni wykrycie subtelnych zmian.
  • Kompensacja wzmocnienia czasowego: ustaw jasność na różnych głębokościach w polu widzenia, tak aby ogólny obraz na ekranie był jednolity – od pola bliskiego do pola dalekiego.

Prawidłowy obraz ultrasonograficzny nerek

Prawidłowy obraz ultrasonograficzny nerek został szczegółowo omówiony w innych źródłach,7 a poniższy artykuł koncentruje się na przewlekłej chorobie nerek u kotów i psów. Nerki powinny być obrazowane w trzech projekcjach – strzałkowej, dogrzbietowej i poprzecznej (ryc. 1).7 U psów, zwłaszcza małych ras, opisano obecność hiperechogenicznego zewnętrznego pasma rdzeniowego, które obserwuje się z umiarkowaną częstością u pacjentów bez stwierdzonej choroby nerek (ryc. 2).8 U kotów kora nerek może być jednorodnie silnie hiperechogeniczna ze zwiększonym w następstwie zróżnicowaniem korowo-rdzeniowym wtórnym do lipidozy kanalików bliższych (ryc. 3).9 Odkładanie się tłuszczu w kanalikach nerkowych jest konsekwencją otyłości bez jednoczesnego upośledzenia czynności nerek.10 Dodatkowo rutynowo obserwuje się zależny od kąta badania artefaktowy wzrost hiperechogeniczności kory i rdzenia nerek, wtórny do anizotropii, w obszarach, w których kanaliki nerkowe ułożone są prostopadle do płaszczyzny fali ultradźwiękowej. Na przykład podczas obrazowania nerki w projekcji strzałkowej echogeniczność biegunów doczaszkowego i doogonowego będzie ogniskowo i artefaktowo zwiększona (ryc. 4).11 Z doświadczenia autorów wynika, że łagodna nieregularność brzegów nerek, szczególnie u kotów, może być obserwowana w miejscach, gdzie naczynia nerkowe przebiegają wzdłuż torebki nerkowej, i nie powinna być błędnie interpretowana jako zmiana zwyrodnieniowa (ryc. 5). W lokalizowaniu tych naczyń użyteczna jest ultrasonografia dopplerowska kodowana kolorem lub w trybie mocy.

  • Medium 1332
  • Medium 1386
  • Medium 1439

Ryc. 1. Obrazy ultrasonograficzne prawidłowej nerki kota w projekcji: a) strzałkowej, b) dogrzbietowej oraz c) poprzecznej. Towarzyszące ilustracje przedstawiają przebieg płaszczyzn obrazowania.

Medium huguet ryc2 opt

Ryc. 2. Obraz w projekcji strzałkowej prawidłowej lewej nerki psa, ukazujący hiperechogeniczny zewnętrzny pas rdzeniowy (groty strzałek).

Medium huguet ryc3 opt

Ryc. 3. Obraz w projekcji strzałkowej lewej nerki kota, przedstawiający wyraźnie zwiększoną echogeniczność kory nerkowej, skutkującą wzmożonym zróżnicowaniem korowo-rdzeniowym, co jest najbardziej zgodne z rozpoznaniem lipidozy kanalikowej. To zjawisko u kotów często powoduje, że nerki są hiperechogeniczne w stosunku do wątroby i/lub śledziony.

Medium huguet ryc4 opt

Ryc. 4. Obraz w projekcji strzałkowej lewej nerki kota, ukazujący obustronne, słabo odgraniczone obszary hiperechogeniczne w biegunach doczaszkowym i doogonowym (groty strzałek), odpowiadające zjawisku anizotropii.

Medium huguet ryc5 opt

Ryc. 5. Badanie ultrasonograficzne metodą dopplera mocy lewej nerki kota, ukazujące równomiernie nieregularne brzegi w miejscach, gdzie naczynia nerkowe przebiegają wzdłuż torebki nerki (groty strzałek).

Cechy ultrasonograficzne przewlekłej choroby nerek

Zgodnie z doniesieniami cechy ultrasonograficzne przewlekłej choroby nerek wykazują ograniczoną korelację z wynikami badania histopatologicznego.12 Ponadto wiele zmian ultrasonograficznych związanych z przewlekłą chorobą nerek ma charakter nieswoisty i może występować również w przebiegu innych procesów chorobowych, takich jak zakażenia, stany zapalne lub nowotwory. Niestety nie wszystkie psy i koty z przewlekłą chorobą nerek wykazują ultrasonograficzne zmiany w nerkach. Mimo to badanie ultrasonograficzne pozostaje nadal cennym narzędziem wspomagającym rozpoznanie ustalone na podstawie innych rutynowych badań, oceniającym następstwa PChN oraz pomagającym w wykluczeniu innych chorób. Poniżej przedstawiono cechy ultrasonograficzne przewlekłej choroby nerek.

Zwiększona echogeniczność kory nerek

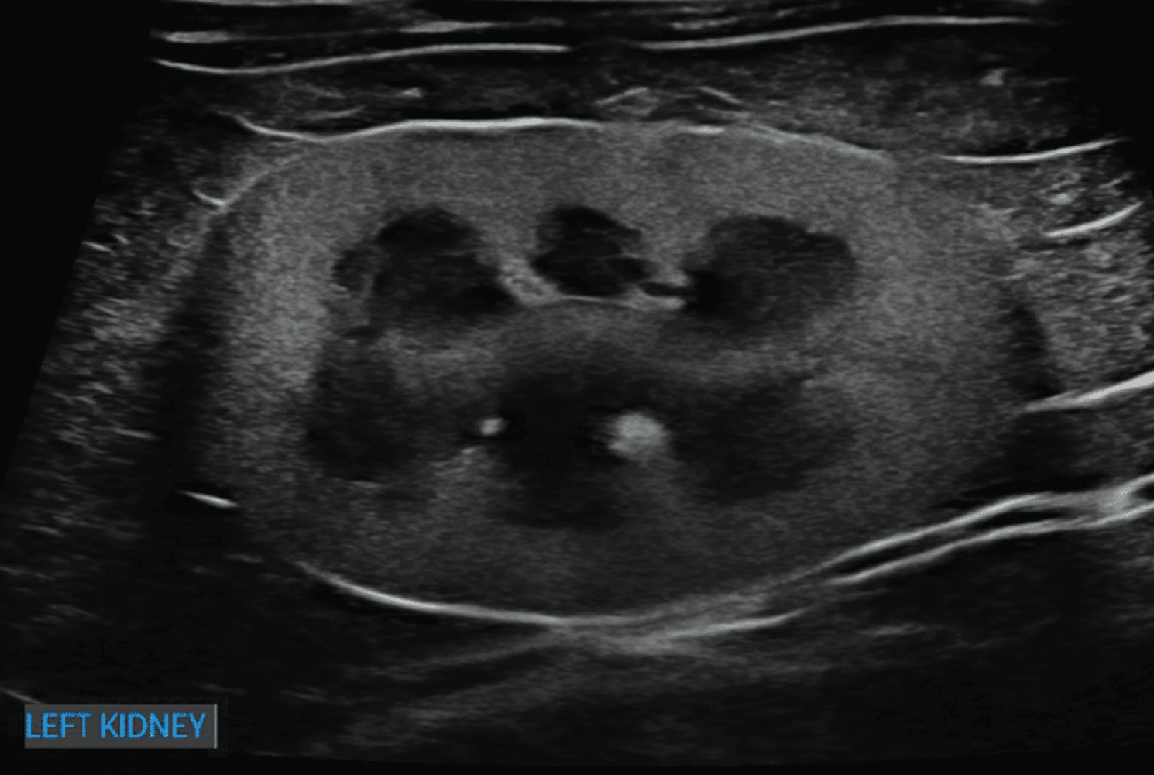
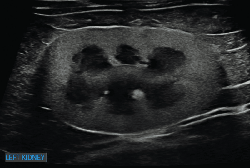
Najczęstszą nieprawidłowością obserwowaną u psów i kotów z przewlekłą chorobą nerek jest rozsiane zwiększenie echogeniczności kory nerek (ryc. 6).12,13 Podejrzewa się, że przyczyną może być zwyrodnienie kory nerek, dokładny mechanizm pozostaje jednak niepewny, głównie z powodu zastępowania tkanek przez tkankę włóknistą z mineralizacją lub bez mineralizacji, co prowadzi do nieswoistych zmian histopatologicznych, zwłaszcza w bardziej zaawansowanych przypadkach.13 W badaniach prowadzonych przez T. Banzato oraz A. Zotti i wsp. wykazano, że zwiększona echogeniczność kory nerek u psów była związana ze stwardnieniem kłębuszków nerkowych (glomerulosklerozą), zanikiem kanalików nerkowych i włóknieniem, u kotów natomiast najczęściej stwierdzano śródmiąższowe zapalenie lub martwicę nerek oraz włóknienie.10,13 Zmiany echogeniczności kory nerek częściej korelowały ze zmianami histopatologicznymi u kotów niż u psów.13 W literaturze medycznej dotyczącej ludzi jako przyczyna zwiększonej echogeniczności kory nerek opisywane jest odwodnienie.14 Podobnej zmiany można oczekiwać u psów i kotów z przewlekłą niewydolnością nerek wynikającą z utraty zdolności do odzyskiwania płynów w nerkach w następstwie diurezy, co może prowadzić do zwiększenia echogeniczności kory nerek spowodowanego zapadnięciem się przestrzeni Bowmana i kanalików nerkowych. Niestety zwiększona echogeniczność kory nerek jest bardzo nieswoistym objawem, który może mieć wiele innych przyczyn, w tym ostre nefropatie (na przykład zatrucie liliami u kotów, leptospiroza u psów).10

Medium huguet ryc6 opt

Ryc. 6. Obraz w projekcji strzałkowej lewej nerki psa, ukazujący rozlaną, umiarkowanie hiperechogeniczną korę oraz obecność słabo zdefiniowanych punktowych i liniowych ognisk hiperechogenicznych.

następna strona>
1 2 3 4 >
NAJPOPULARNIEJSZE
Onkologia
Rak przejściowokomórkowy (TCC), czyli złośliwy nowotwór pęcherza moczowego
Nowa formuła Kongresu ApD Weterynaria – dwa razy więcej wiedzy!
Anestezjologia
Postawmy na rozsądek podczas planowania znieczulenia regionalnego
POLECANE ARTYKUŁY
Farmakologia i toksykologia
Opioidowa farmakoterapia bólu okołooperacyjnego u psów i kotów
Onkologia
Ośmioletnia suka z nawrotowym krwiomoczem
Hematologia
Zależne od rasy zmiany w obrazie krwi u psów i kotów. Cz. II
Choroby zakaźne
Grzybice narządowe kotów – aktualne dane
Onkologia
Dziesięć najczęstszych nowotworów u psów w Polsce
Chirurgia
Rany u małych zwierząt. Cz. III. Czemu rana się nie goi
Dermatologia
Toczniowe zniekształcenie pazurów u psów jako rzadka forma tocznia – rozpoznawanie i leczenie
Parazytologia
Motyliczka mięśniowa – możliwości rozpoznawania nowego zagrożenia
NEWSLETTER
OBSERWUJ NAS NA
NASZE PUBLIKACJE
  • Magazyn Weterynaryjny
  • Zamów prenumeratę
  • Czytaj on-line
  • Weterynaria po Dyplomie
  • Zamów prenumeratę
  • Czytaj on-line
  • Dodatek Online
  • Filmy


AKADEMIA PO DYPLOMIE WETERYNARIA
  • Termin i miejsce
  • Program
  • Koszty uczestnictwa
  • Rejestracja online


POMOC
  • Kontakt
  • Polityka prywatnosci
  • Zadaj pytanie
  • Logowanie i rejestracja
  • Regulamin
  • Metody płatności
  • Regulamin publikowania prac
  • Filmy Pomoc


KONTAKT

Medical Tribune Polska Sp. z o.o.
ul. Grzybowska 87
00-844 Warszawa
NIP: 521-008-60-45


801 044 415
+48 (22) 444 24 44
kontakt@magwet.pl
Nr konta: 13 1600 1068 0003 0102 0949 9001

Kontakt w sprawie reklam: magwet-reklama@medical-tribune.pl

Anuluj