WPD
ZALOGUJ
WPD
Prenumeruj
Odnów Subskrypcję
Prenumeruj
Czasopisma
Magazyn Weterynaryjny Weterynaria po Dyplomie
Praktyka
Kliniczna
Anestezjologia Behawioryzm Chirurgia Choroby wewnętrzne Choroby zakaźne Dermatologia Diagnostyka laboratoryjna Diagnostyka obrazowa Endokrynologia Farmakologia i toksykologia Gastroenterologia Geriatria Hematologia Kardiologia Laryngologia Nefrologia i Urologia Neurologia Okulistyka Onkologia Ortopedia Parazytologia Rehabilitacja Rozród Stany nagłe Stomatologia Żywienie
Gatunki
Konie Koty Psy
Wydarzenia
Kongres Webinaria
Filmy
Sklep
Koszyk
0
ZALOGUJ
Zarejestruj
Zaloguj
Zarejestruj

Diagnostyka obrazowa Koty Psy

Badanie ultrasonograficzne w rozpoznawaniu przewlekłej choroby nerek u psów i kotów

17/11/2025

Zawał nerki

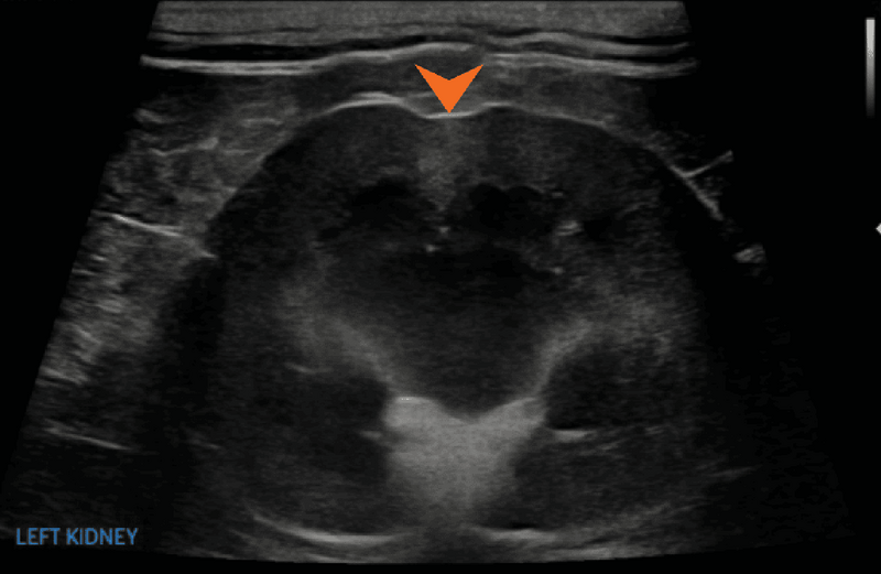
Zawały w nerkach (ryc. 13) najczęściej dotyczą kory nerek. Ich liczba oraz wielkość mogą być różne.8,17 Są one związane nie tylko z przewlekłą chorobą nerek, lecz także z innymi przyczynami, takimi jak zaburzenia krzepnięcia, sepsa albo nowotwory.8 Często wskazane jest wykonanie badań serologicznych w celu potwierdzenia rozpoznania.3 Zawały kory nerkowej przyczyniają się również do nieregularności obrysu nerki, rzadko jednak obejmują więcej niż dwie trzecie miąższu nerkowego, dlatego zwykle nie są jedyną klinicznie istotną przyczyną utraty czynności nerek.17 Cechy ultrasonograficzne zawałów nerek mogą się różnić w zależności od tego, czy są to zmiany ostre, czy przewlekłe.22 Po doświadczalnym ogniskowym zamknięciu gałęzi tętnicy nerkowej w ciągu 24 godzin stwierdzono ogniskowy obrzęk i hipoechogeniczność kory nerkowej, które utrzymywały się przez 5-7 dni.21 W tym badaniu po siedmiu dniach echogeniczność dotkniętego obszaru stopniowo wzrastała, a około 17. dnia obserwowano stopniowo kurczącą się, klinowatą zmianę z wklęsłym ubytkiem wzdłuż brzegu torebki nerki.

Medium huguet ryc13 opt

Ryc. 13. Obraz w projekcji strzałkowej lewej nerki kota, ukazujący słabo odgraniczony, klinowaty obszar zwiększonej echogeniczności w korze oraz położony poniżej mały wklęsły ubytek wzdłuż brzegu torebki (grot strzałki), co odpowiada przewlekłemu zawałowi kory nerki.

Dodatkowe zastosowania ultrasonografii w ocenie przewlekłej choroby nerek

U psów z bardziej zaawansowanymi stadiami przewlekłej choroby nerek obserwuje się bardziej nasilone zmiany ultrasonograficzne oraz większą ich liczbę.12 Należy jednak pamiętać, że psy i koty z przewlekłą chorobą nerek mogą nie wykazywać widocznych nieprawidłowości w obrazie ultrasonograficznym nerek.12 Chociaż obecnie ultrasonografia ma ograniczone zastosowanie w rozpoznawaniu PChN, ocena nerek z użyciem dopplera kodowanego kolorem i/lub dopplera mocy, pomiary wskaźników oporu (RI) i pulsacji (PI), a także techniki takie jak elastografia fali poprzecznej albo ultrasonografia z kontrastem mogą wspomagać rozpoznanie choroby w przypadku braku innych typowych zmian ultrasonograficznych.

Ultrasonografia dopplerowska kodowana kolorem i doppler mocy

Ultrasonografia dopplerowska kodowana kolorem lub doppler mocy są stosowane w celu oceny obecności i/lub zmniejszenia przepływu tętniczego wewnątrz nerki, co pozwala na pośrednią ocenę czynności nerek. Hipowaskularyzacja została opisana we wszystkich etapach przewlekłej choroby nerek u kotów, jest jednak bardziej nasilona i stała u osobników z bardziej zaawansowanymi stadiami choroby.22 Dodatkowo ultrasonografia dopplerowska kodowana kolorem i doppler mocy są przydatne w identyfikacji zawałów nerek, szczególnie w fazie ostrej, gdy obrzęk obszaru zawałowego kory może imitować obecność guzka.8,17

Wskaźniki oporu i pulsacji

Wskaźniki oporu i pulsacji mogą być przydatne w ocenie perfuzji miąższu nerek.23,24

  • Wskaźnik oporu = (prędkość skurczowa maksymalna – prędkość końcoworozkurczowa)/prędkość skurczowa maksymalna
  • Wskaźnik pulsacji = (prędkość skurczowa maksymalna – prędkość końcoworozkurczowa)/średnia prędkość skurczowa

Wskaźniki te są bezwymiarowymi pomiarami sygnału dopplera falowego wykorzystywanymi do oceny oporu naczyniowego. Pomiary wykonuje się w okolicy wnęki nerki, aby ocenić tętnice segmentalne lub międzypłatowe, bądź w strefie korowo-rdzeniowej, by ocenić tętnice łukowate.23,24

Jak opisano w literaturze dotyczącej medycyny człowieka, na powyższe wskaźniki mogą wpływać takie czynniki jak sedacja, choroby serca oraz nieprawidłowe ciśnienie tętnicze.25 Badania weterynaryjne wykazały brak korelacji między wskaźnikiem oporu a stężeniem kreatyniny u kotów i psów, co powoduje, że ten parametr jest mało wiarygodny klinicznie.25,26 Ponadto odnotowano znaczne nakładanie się wskaźnika oporu u psów z przewlekłą chorobą nerek i bez niej, co dodatkowo ogranicza jego wartość diagnostyczną.25 Z drugiej strony podwyższony wskaźnik pulsacji może stanowić bardziej wiarygodny parametr oceny perfuzji nerkowej u psów i kotów, zwłaszcza gdy podwyższone markery nerkowe we krwi potwierdzają rozpoznanie przewlekłej choroby nerek.23 Prawidłowe zakresy referencyjne przedstawiono w tabeli 1.15,20

Medium 2191

Tabela 1. Prawidłowe zakresy norm referencyjnych dla wskaźników oporu i pulsacji

Elastografia fali poprzecznej

Elastografia fali poprzecznej umożliwia jakościowy i ilościowy pomiar sztywności tkanek. U ludzi z przewlekłą chorobą nerek opisywano zwiększoną sztywność miąższu nerkowego, wynikającą prawdopodobnie ze zwłóknienia.27 Podobne zmiany zaobserwowano również w korze nerek kotów i psów z przewlekłą chorobą nerek.28 Ocena sztywności kory nerkowej jako narzędzie diagnostyczne w PChN ma jednak ograniczoną wiarygodność, a dodatkowo konieczność użycia specjalistycznego oprogramowania sprawia, że elastografia fali poprzecznej nie jest powszechnie dostępna w codziennej praktyce weterynaryjnej.29

Ultrasonografia z kontrastem

W Stanach Zjednoczonych dostępność ultrasonografii z kontrastem jest ograniczona, a jej koszt wysoki. Aby ocenić perfuzję nerek, podaje się dożylnie środek cieniujący zawierający mikropęcherzyki gazu. Najbardziej powtarzalne pomiary perfuzji nerek to czas do osiągnięcia maksymalnego wzmocnienia sygnału oraz czasy narastania i zanikania wzmocnienia.30 U kotów i psów z przewlekłą chorobą nerek można zaobserwować wydłużony czas do szczytu wzmocnienia oraz krótszy średni czas przejścia kontrastu. Interpretacja wyników może jednak być utrudniona ze względu na zmienność ustawień ultrasonografu, stabilność środka cieniującego oraz indywidualne czynniki pacjenta (na przykład nieprawidłowe ciśnienie krwi, obecność choroby serca, ruch).28,30,31

Cechy ultrasonograficzne zaawansowanej przewlekłej choroby nerek

W miarę postępu przewlekłej choroby nerek prawidłowa struktura nerek może ulec zatarciu. Nerki stają się znacznie zmniejszone i nieregularne. W badaniu dopplerowskim (kodowanym kolorem i dopplerze mocy) są one skrajnie słabo unaczynione, a w standardowej ultrasonografii w trybie B mogą być trudne do uwidocznienia. Jeżeli jedna z nerek jest bardziej uszkodzona, to druga może ulec powiększeniu w wyniku kompensacyjnego przerostu nefronów, co ma na celu zwiększenie wydolności czynnościowej pozostałych nefronów.3 W następstwie ciężkiej PChN u psów i kotów mogą rozwinąć się wieloukładowe powikłania przewlekłej mocznicy,3 z których najczęstsza jest mineralizacja tkanek miękkich. Proponowane mechanizmy tego zjawiska, które mogą występować jednocześnie, obejmują mineralizacje ektopowe spowodowane hiperkalcemią wynikającą z wtórnej nadczynności przytarczyc oraz mineralizacje dystroficzne będące wynikiem odkładania się substancji mineralnych w miejscach zapalnie zmienionych tkanek w odpowiedzi na krążące toksyny mocznicowe.32,33 W niedawnym badaniu Cardoso i wsp. wykazano, że nerki są najczęstszym miejscem mineralizacji, podczas badania ultrasonograficznego jamy brzusznej często obserwuje się jednak również zmiany w błonie śluzowej żołądka, aorcie oraz jelitach.32 Zespół nerczycowy może być skutkiem nadmiernej utraty białka z moczem, co prowadzi do nadkrzepliwości i zatorowości. Wielonarządowe objawy zawału wykrywane ultrasonograficznie należy interpretować w korelacji z wynikami badań serologicznych, aby potwierdzić rozpoznanie.3

następna strona>
< 1 2 3 4 >
NAJPOPULARNIEJSZE
Onkologia
Rak przejściowokomórkowy (TCC), czyli złośliwy nowotwór pęcherza moczowego
Nowa formuła Kongresu ApD Weterynaria – dwa razy więcej wiedzy!
Anestezjologia
Postawmy na rozsądek podczas planowania znieczulenia regionalnego
POLECANE ARTYKUŁY
Farmakologia i toksykologia
Opioidowa farmakoterapia bólu okołooperacyjnego u psów i kotów
Onkologia
Ośmioletnia suka z nawrotowym krwiomoczem
Hematologia
Zależne od rasy zmiany w obrazie krwi u psów i kotów. Cz. II
Choroby zakaźne
Grzybice narządowe kotów – aktualne dane
Onkologia
Dziesięć najczęstszych nowotworów u psów w Polsce
Chirurgia
Rany u małych zwierząt. Cz. III. Czemu rana się nie goi
Dermatologia
Toczniowe zniekształcenie pazurów u psów jako rzadka forma tocznia – rozpoznawanie i leczenie
Parazytologia
Motyliczka mięśniowa – możliwości rozpoznawania nowego zagrożenia
NEWSLETTER
OBSERWUJ NAS NA
NASZE PUBLIKACJE
  • Magazyn Weterynaryjny
  • Zamów prenumeratę
  • Czytaj on-line
  • Weterynaria po Dyplomie
  • Zamów prenumeratę
  • Czytaj on-line
  • Dodatek Online
  • Filmy


AKADEMIA PO DYPLOMIE WETERYNARIA
  • Termin i miejsce
  • Program
  • Koszty uczestnictwa
  • Rejestracja online


POMOC
  • Kontakt
  • Polityka prywatnosci
  • Zadaj pytanie
  • Logowanie i rejestracja
  • Regulamin
  • Metody płatności
  • Regulamin publikowania prac
  • Filmy Pomoc


KONTAKT

Medical Tribune Polska Sp. z o.o.
ul. Grzybowska 87
00-844 Warszawa
NIP: 521-008-60-45


801 044 415
+48 (22) 444 24 44
kontakt@magwet.pl
Nr konta: 13 1600 1068 0003 0102 0949 9001

Kontakt w sprawie reklam: magwet-reklama@medical-tribune.pl

Anuluj