WPD
ZALOGUJ
WPD
Prenumeruj
Odnów Subskrypcję
Prenumeruj
Czasopisma
Magazyn Weterynaryjny Weterynaria po Dyplomie
Praktyka
Kliniczna
Anestezjologia Behawioryzm Chirurgia Choroby wewnętrzne Choroby zakaźne Dermatologia Diagnostyka laboratoryjna Diagnostyka obrazowa Endokrynologia Farmakologia i toksykologia Gastroenterologia Geriatria Hematologia Kardiologia Laryngologia Nefrologia i Urologia Neurologia Okulistyka Onkologia Ortopedia Parazytologia Rehabilitacja Rozród Stany nagłe Stomatologia Żywienie
Gatunki
Konie Koty Psy
Wydarzenia
Kongres Webinaria
Filmy
Sklep
Koszyk
0
ZALOGUJ
Zarejestruj
Zaloguj
Zarejestruj

Diagnostyka obrazowa Koty Psy

Badanie ultrasonograficzne w rozpoznawaniu przewlekłej choroby nerek u psów i kotów

17/11/2025

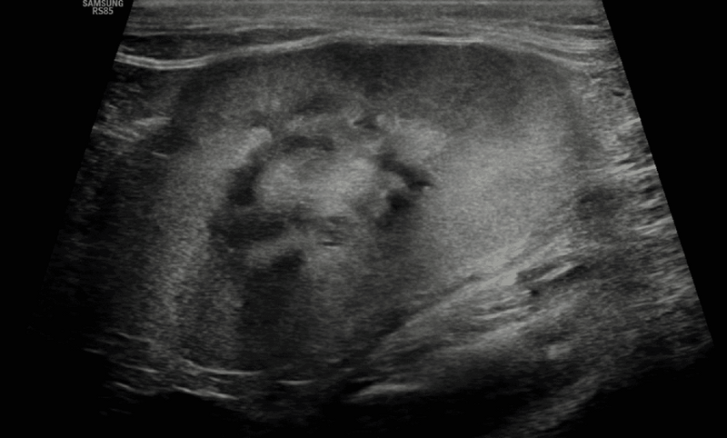
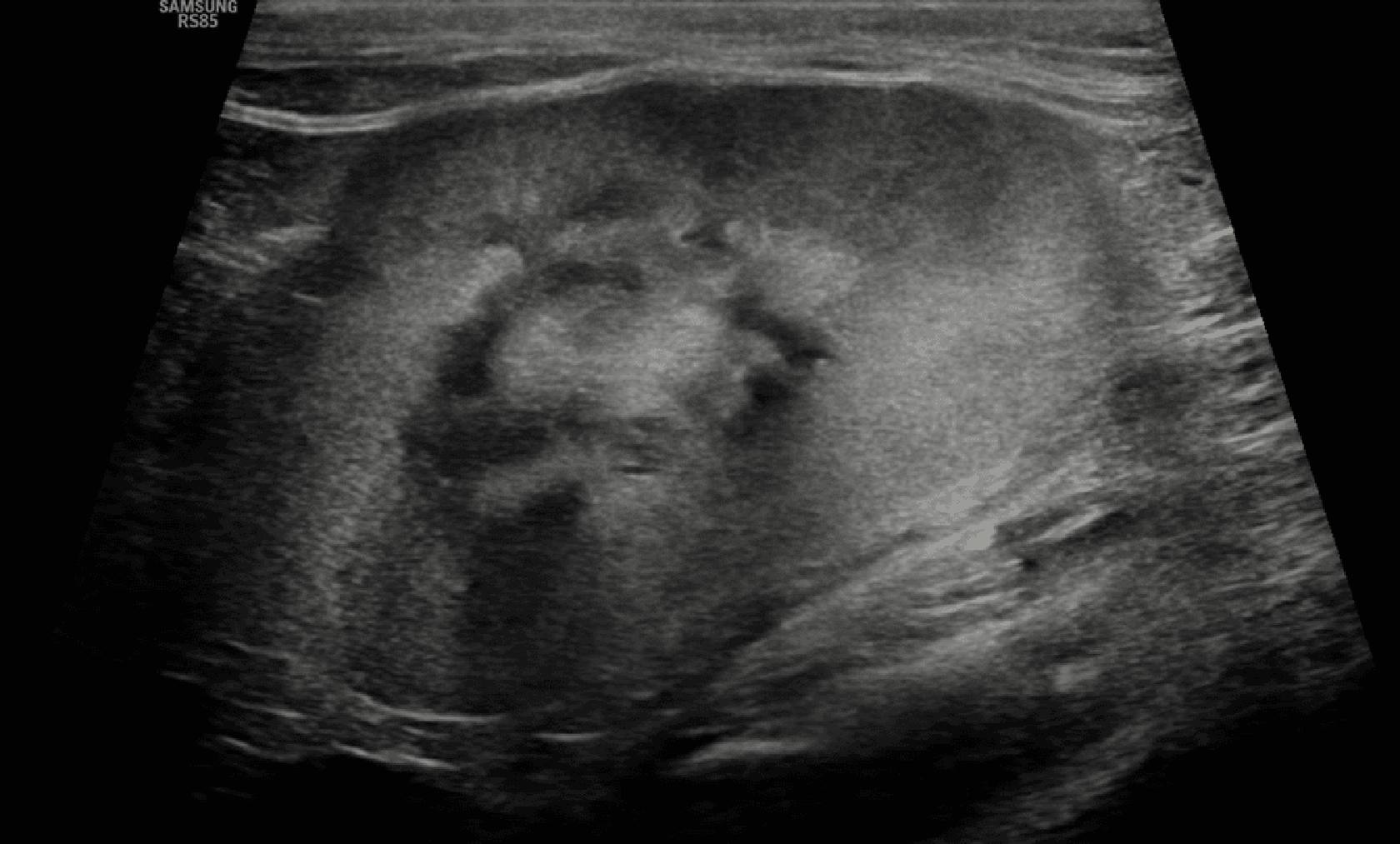
Zmniejszone zróżnicowanie korowo-rdzeniowe

Wyraźne zróżnicowanie między korą a rdzeniem nerki wynika z wyższej gęstości komórkowej w korze oraz większej zawartości płynów w rdzeniu nerki (ryc. 7).15 Wraz ze zwyrodnieniem i utratą zdolności zatrzymywania płynów w rdzeniu nerki echogeniczność rdzenia stopniowo wzrasta, co prowadzi do utraty zróżnicowania między korą a rdzeniem.15

Medium huguet ryc7 opt

Ryc. 7. Obraz w projekcji strzałkowej prawej nerki kota, ukazujący wyraźnie zmniejszone zróżnicowanie korowo-rdzeniowe, a także hiperechogeniczność kory nerki i jej nieregularne brzegi.

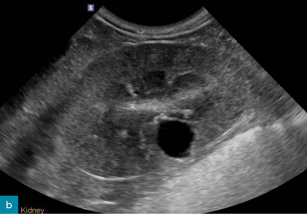
Poszerzenie miedniczki nerkowej (pielektazja)

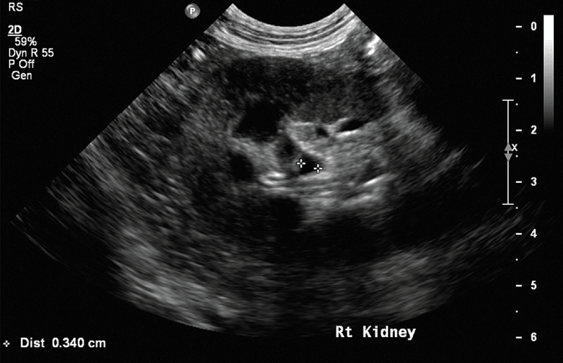
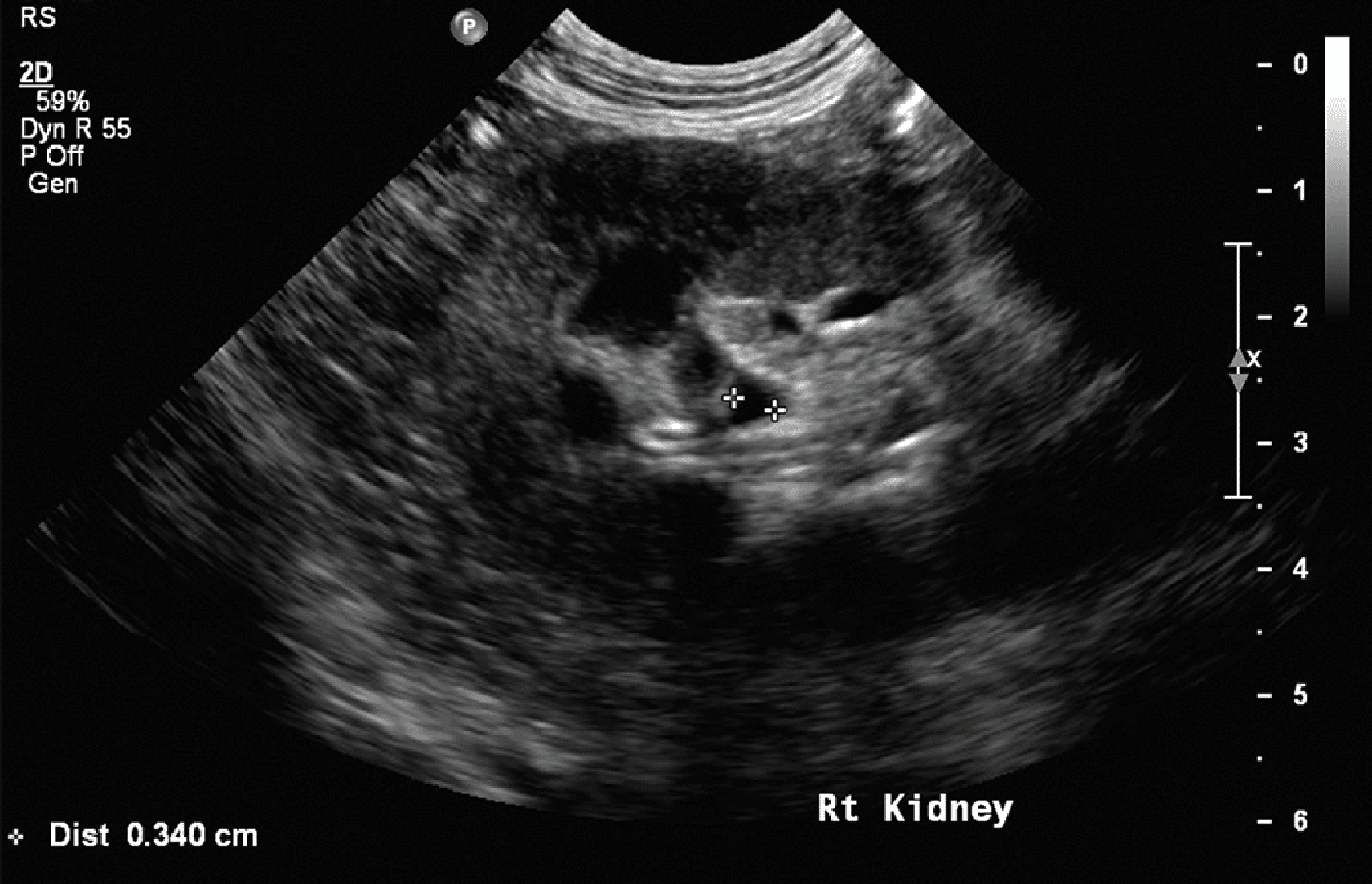
Poza takimi czynnikami jak dożylna płynoterapia lub odmiedniczkowe zapalenie nerek zwiększone wydalanie moczu u pacjentów z przewlekłą chorobą nerek jest często związane z poszerzeniem miedniczki nerkowej.16 Pielektazja to nagromadzenie płynu i wtórne rozszerzenie miedniczki nerkowej wynikające z procesu niezwiązanego z niedrożnością (ryc. 8).8 Dla porównania wodonercze to rozszerzenie miedniczki nerkowej wtórne do niedrożności dróg moczowych. Pielektazja jest najczęściej symetryczna i obustronna, może jednak występować jednostronnie lub asymetrycznie w obu nerkach.3,16 U pacjentów z pielektazją i niewydolnością nerek wysokość miedniczki nerkowej zazwyczaj nie przekracza 3,4 mm u psów i 3 mm u kotów.16 Jeżeli poszerzenie miedniczki nerkowej jest większe, należy dokładnie ocenić drogi moczowe pod kątem nieprawidłowości, aby potwierdzić obecność innych procesów chorobowych, takich jak odmiedniczkowe zapalenie nerek lub wodonercze wtórne do niedrożności dróg moczowych.16

Medium huguet ryc8 opt

Ryc. 8. Obraz w projekcji poprzecznej prawej nerki psa, ukazujący łagodne poszerzenie miedniczki nerkowej (wysokość miedniczki nerkowej oznaczona wskaźnikami). Brak cech niedrożności.

Nieregularny brzeg nerki

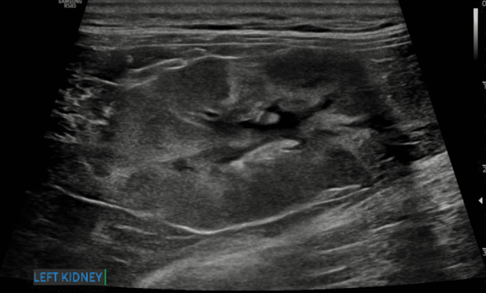
Nieregularne brzegi nerek (ryc. 9) mogą być związane z jednym lub kilkoma – często współwystępującymi – procesami, takimi jak zwłóknienie, stwardnienie, zanik, tworzenie torbieli albo zawał nerki.12 Nieregularny brzeg nerek jest często obserwowany w bardziej zaawansowanych stadiach przewlekłej choroby nerek i może wiązać się ze złym rokowaniem.8,15,17

Medium huguet ryc9 opt

Ryc. 9. Obraz w projekcji strzałkowej lewej nerki kota, ukazujący wyraźnie nieregularne brzegi związane z obecnością hiperechogeniczności kory nerki oraz przewlekłych zawałów kory nerkowej. Obecna jest także łagodna pielektazja.

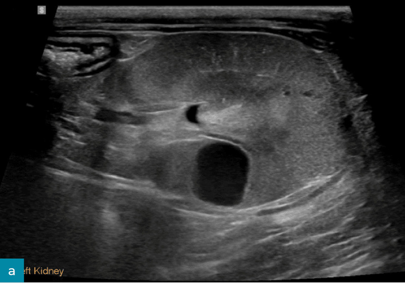
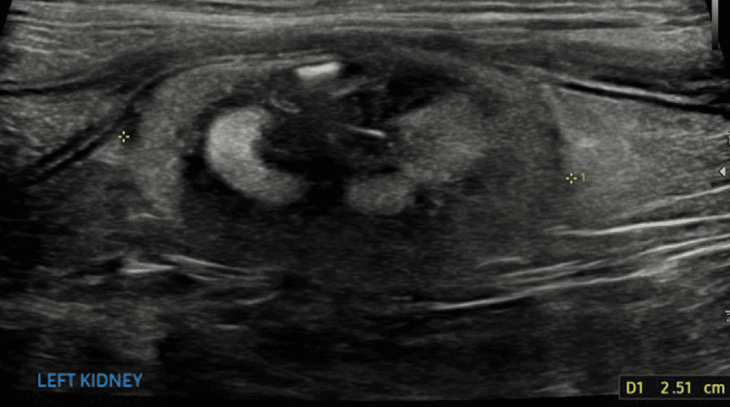
Zmniejszona wielkość nerek

Pomiary ultrasonograficzne wielkości nerek wykazują powiązanie z pomiarami makroskopowymi wykonywanymi podczas sekcji, choć należy spodziewać się pewnego niedoszacowania długości nerki.18 Zmniejszenia nerek (ryc. 10) oczekuje się w przypadku ich zwłóknienia, wielkość nerki może jednak nie korelować bezpośrednio ze stopniem zwłóknienia, jeśli jednocześnie występuje hiperplazja kompensacyjna, torbiele nerek lub pielektazja.8,17 Małe nerki mogą wskazywać na większy stopień zwłóknienia niż przerost kompensacyjny, co sugeruje bardziej zaawansowane stadium przewlekłej choroby nerek. Wielkość nerek wykazuje dużą zmienność u psów, a różnice między rasami ograniczają przydatność jej oceny.18 Dla psów zaproponowano wcześniej wskaźnik stosunku wielkości nerki do aorty, przy czym prawidłowy rozmiar nerki mieścił się w zakresie 5,5-9,5 cm,19 pomiar ten nie jest jednak powszechnie stosowany klinicznie. U kotów różnice między rasami są mniejsze, a prawidłowa długość nerki została określona jako 3-4,5 cm.8

Medium huguet ryc10 opt

Ryc. 10. Obraz w projekcji strzałkowej wyraźnie małej lewej nerki kota z towarzyszącą utratą prawidłowej morfologii nerki (na przykład ścieńczenie i hiperechogeniczność kory nerkowej, utrata zróżnicowania korowo-rdzeniowego, mineralizacja, nieregularne brzegi).

Mineralizacja

Dystroficzne odkładanie się substancji mineralnych w nefronach i śródmiąższu nerki może występować wtórnie do jej uszkodzenia i bywa trudne do odróżnienia od zwłóknienia nerek. Korelacja histologiczna jest ograniczona, przypuszcza się jednak, że mineralizacje (ryc. 11) najczęściej odpowiadają punktowym i/lub liniowym, hiperechogenicznym ogniskom w korze nerkowej, które są zazwyczaj zbyt małe, by powodować dystalny cień akustyczny.8 Hiperechogeniczne pasma w rdzeniu nerek, również uważane za przejaw mineralizacji i/lub zwłóknienia, obserwuje się w bardziej postępującej chorobie nerek.3 Tzw. objaw rąbka rdzeniowego, choć występuje zarówno u psów z przewlekłą niewydolnością nerek, jak i bez niej, był wcześniej łączony z możliwą mineralizacją nabłonka kanalików nerkowych oraz błony podstawnej u psów z nefropatią hiperkalcemiczną.9,20 Mineralizacja nerek może być nasilana przez przewlekłą hiperkalcemię wynikającą z podwyższonego stężenia parathormonu w reakcji na pogorszenie czynności nerek. Choć mineralizacja nerek może być wtórna do przewlekłej ich choroby, może również wynikać z chorób endokrynologicznych lub innych zaburzeń metabolicznych.8,17 Dodatkowo mineralizacja uchyłków nerkowych może stanowić przewlekłe następstwo wcześniejszego lub utrzymującego się odmiedniczkowego zapalenia nerek.

  • Medium 1904
  • Medium 1942

Ryc. 11. Obrazy w projekcji strzałkowej nerek psa. a) Prawa nerka ukazująca punktowe i liniowe ogniska hiperechogeniczne w korze, które mogą odpowiadać mineralizacji związanej z przewlekłą chorobą nerek. b) Lewa nerka ukazująca objaw rąbka, który wcześniej również wiązano z mineralizacją wtórną do nefropatii hiperkalcemicznej. Możliwy jest także obraz prawidłowy nerki.

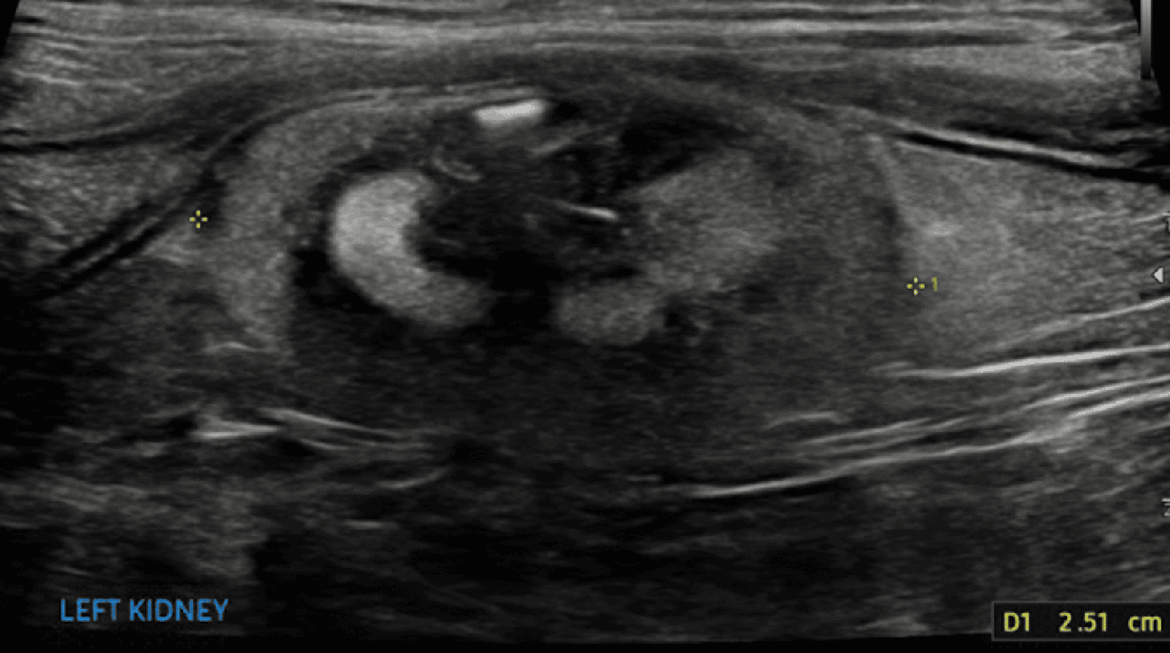
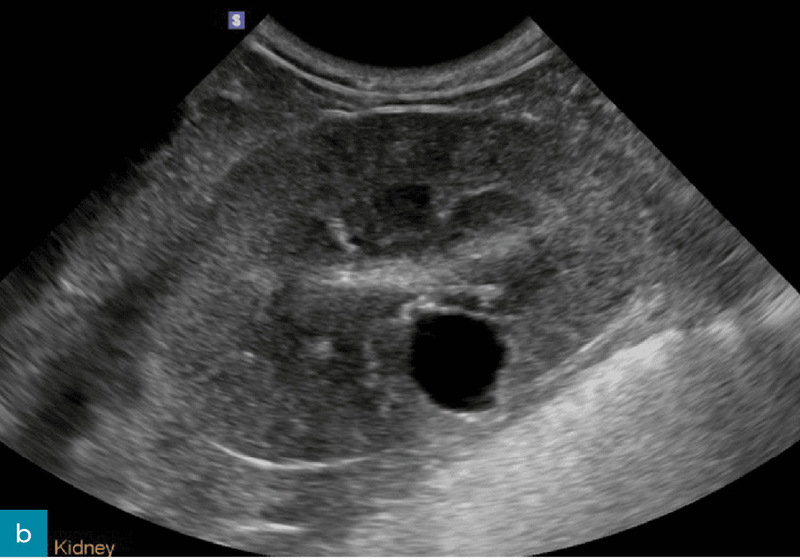
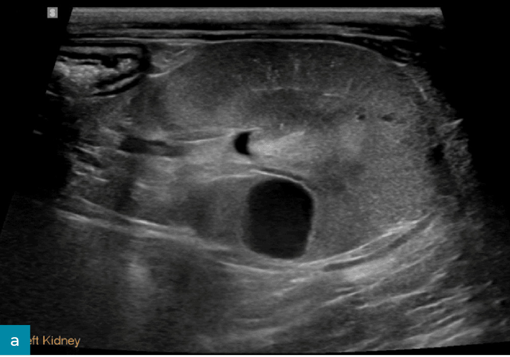
Torbiele nerek

Torbiele nerek (ryc. 12) występują częściej w korze nerkowej i mogą mieć charakter nabyty lub wrodzony. Dlatego też nie stanowią one czułego wskaźnika przewlekłej choroby nerek u psów, jeżeli nie mamy do porównania wcześniej wykonanego badania.8,17 Torbiele nerek są często stwierdzane u psów z przewlekłą chorobą nerek i zazwyczaj nie wpływają istotnie na czynność narządu. Mogą jednak zmieniać kształt nerek i być jednym z czynników powodujących nieregularność ich brzegów.8,12,21

  • Medium 2057
  • Medium 2094

Ryc. 12. Obraz w projekcji strzałkowej (a) i poprzecznej (b) lewej nerki psa, uzyskany odpowiednio za pomocą głowicy mikrokonweksowej i liniowej. W centrum kory nerkowej widoczna jest dobrze odgraniczona, gładko obramowana, cienkościenna, okrągła, bezechowa torbiel ze wzmocnieniem dalszym. Kora nerkowa wykazuje słabo zdefiniowane hiperechogeniczne prążkowanie oraz zmniejszone zróżnicowanie korowo-rdzeniowe. Łagodna pielektazja (wysokość miedniczki nerkowej < 2 mm) była głównie uznawana za wtórną do diurezy (na przykład fizjologicznej, spowodowanej dożylnym podaniem płynów bądź niewydolnością nerek). Obraz w projekcji strzałkowej dodatkowo wykazuje poprawę rozdzielczości przestrzennej przy użyciu głowic liniowych o wyższej częstotliwości.

następna strona>
< 1 2 3 4 >
NAJPOPULARNIEJSZE
Onkologia
Rak przejściowokomórkowy (TCC), czyli złośliwy nowotwór pęcherza moczowego
Nowa formuła Kongresu ApD Weterynaria – dwa razy więcej wiedzy!
Anestezjologia
Postawmy na rozsądek podczas planowania znieczulenia regionalnego
POLECANE ARTYKUŁY
Farmakologia i toksykologia
Opioidowa farmakoterapia bólu okołooperacyjnego u psów i kotów
Onkologia
Ośmioletnia suka z nawrotowym krwiomoczem
Hematologia
Zależne od rasy zmiany w obrazie krwi u psów i kotów. Cz. II
Choroby zakaźne
Grzybice narządowe kotów – aktualne dane
Onkologia
Dziesięć najczęstszych nowotworów u psów w Polsce
Chirurgia
Rany u małych zwierząt. Cz. III. Czemu rana się nie goi
Dermatologia
Toczniowe zniekształcenie pazurów u psów jako rzadka forma tocznia – rozpoznawanie i leczenie
Parazytologia
Motyliczka mięśniowa – możliwości rozpoznawania nowego zagrożenia
NEWSLETTER
OBSERWUJ NAS NA
NASZE PUBLIKACJE
  • Magazyn Weterynaryjny
  • Zamów prenumeratę
  • Czytaj on-line
  • Weterynaria po Dyplomie
  • Zamów prenumeratę
  • Czytaj on-line
  • Dodatek Online
  • Filmy


AKADEMIA PO DYPLOMIE WETERYNARIA
  • Termin i miejsce
  • Program
  • Koszty uczestnictwa
  • Rejestracja online


POMOC
  • Kontakt
  • Polityka prywatnosci
  • Zadaj pytanie
  • Logowanie i rejestracja
  • Regulamin
  • Metody płatności
  • Regulamin publikowania prac
  • Filmy Pomoc


KONTAKT

Medical Tribune Polska Sp. z o.o.
ul. Grzybowska 87
00-844 Warszawa
NIP: 521-008-60-45


801 044 415
+48 (22) 444 24 44
kontakt@magwet.pl
Nr konta: 13 1600 1068 0003 0102 0949 9001

Kontakt w sprawie reklam: magwet-reklama@medical-tribune.pl

Anuluj